
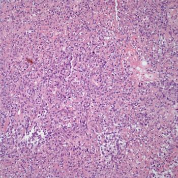
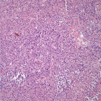
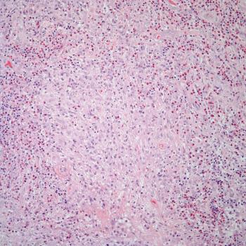
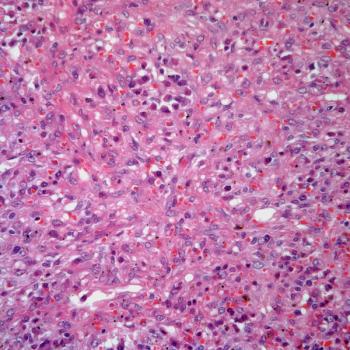
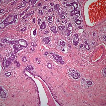
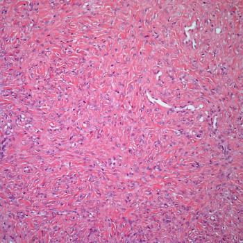
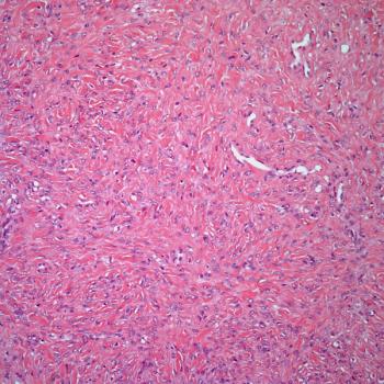
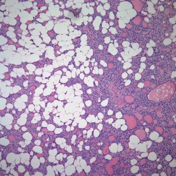
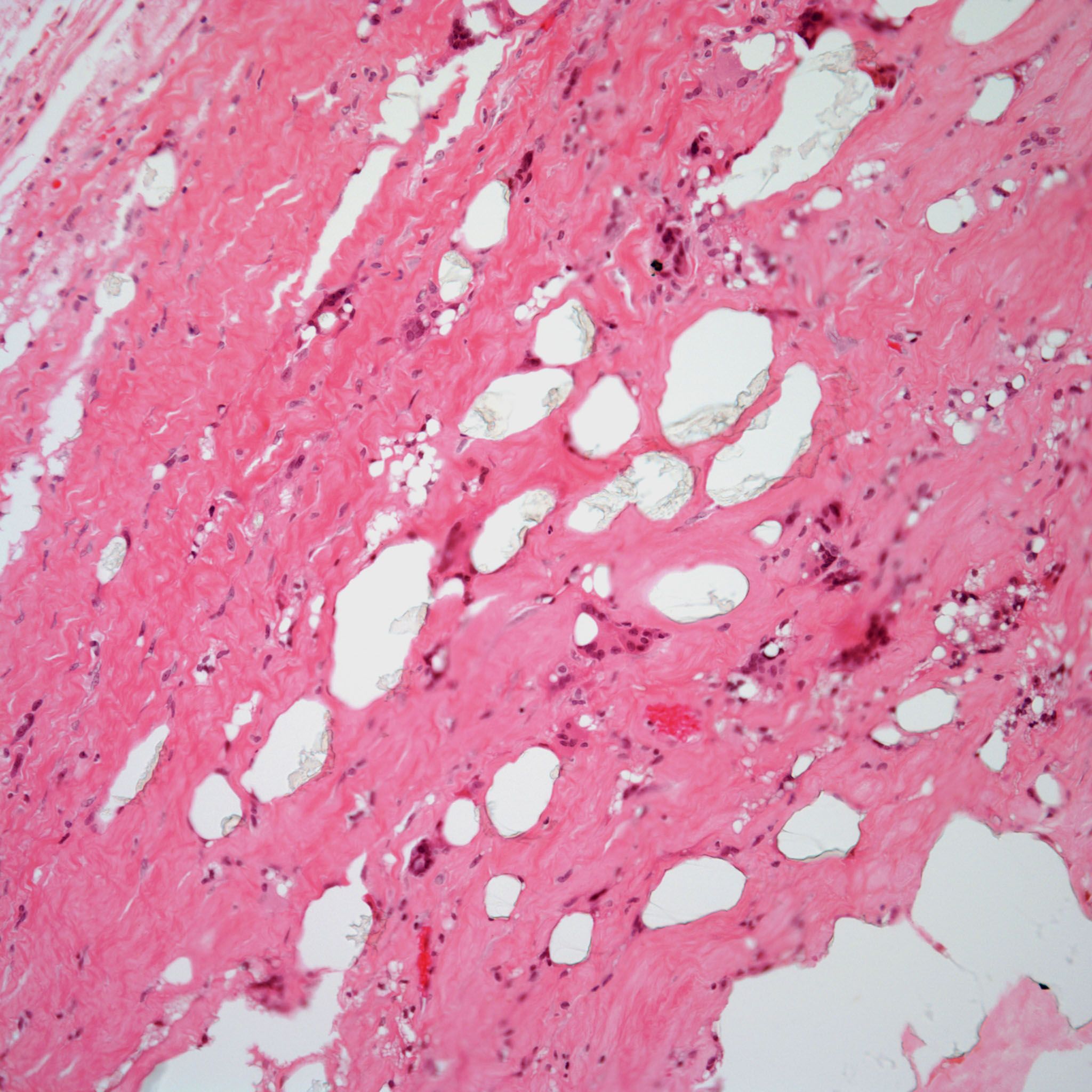
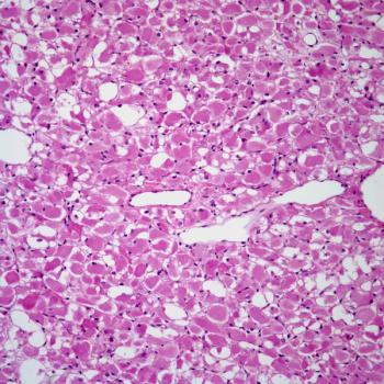
A 32-year-old man presents with pain in the lower back of several weeks’ duration. What is your diagnosis?

Your AI-Trained Oncology Knowledge Connection!


A 32-year-old man presents with pain in the lower back of several weeks’ duration. What is your diagnosis?

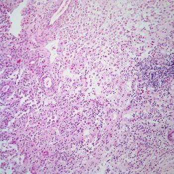
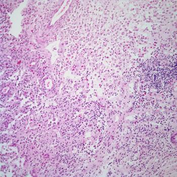
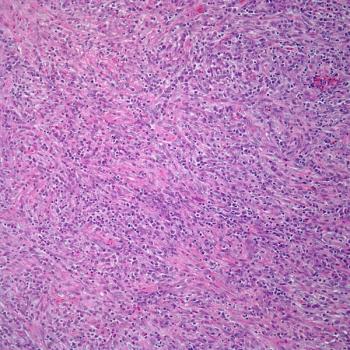
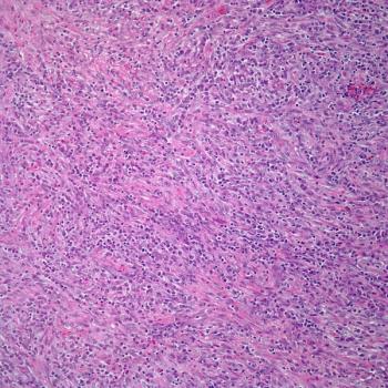
A 23-year-old with no relevant prior medical history presents with pain in the right leg. What is your diagnosis?

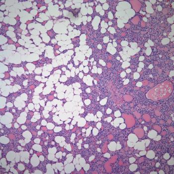
A 36-year-old woman presents with history of previous breast implants and induration of the left breast. What is your diagnosis?

A 38-year-old woman with a history of tobacco use presents with shortness of breath, cough, chest pain, and general malaise. What is your diagnosis?

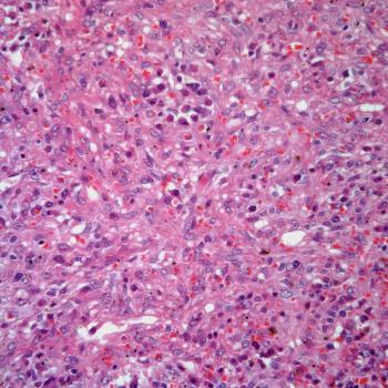
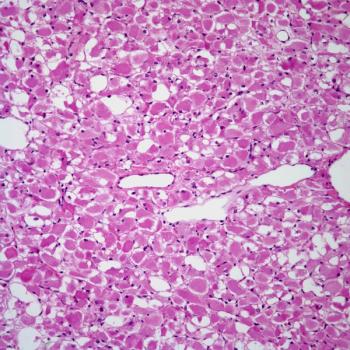
A 38-year-old man presents with abdominal pain and general malaise. What is your diagnosis?

A 43-year-old woman with history of Sjogren syndrome presents with dyspnea and chest pain. What is your diagnosis?

A 42-year-old woman presents with a nodule in the right breast. What is your diagnosis?

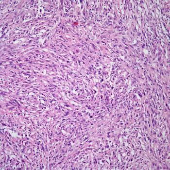
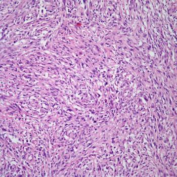
A 35-year-old woman presents with a subcutaneous lesion in the right forearm. What is your diagnosis?

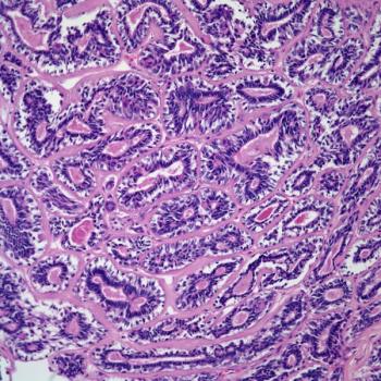
A 38-year old woman presents with an ovarian tumor and a biopsy is obtained. What is your diagnosis?

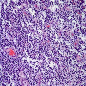
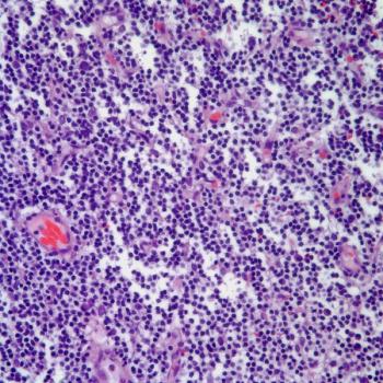
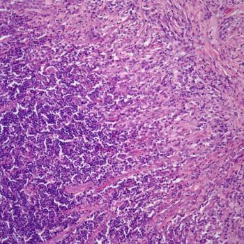
A 34-year-old man presents with pain in the right side of the neck, and a lymph node biopsy is performed. What is your diagnosis?

A 38-year-old woman presents with a breast mass and a biospy is obtained. What is your diagnosis?

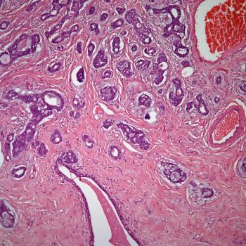
A 52-year-old woman presents with symptoms of dysphagia and dyspnea. At clinical examination, a palpable soft nodule is present in the right side of the neck. What is your diagnosis?
.jpg?w=350&fit=crop&auto=format)
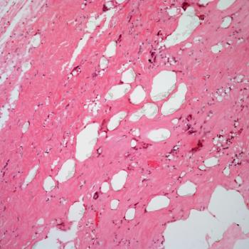
A 56-year-old man presents with a subcutaneous soft tissue mass in the right leg. The patient does not have any other pertinent clinical history. What is your diagnosis?

A thyroid nodule is found in a 43-year-old man and a biopsy is obtained. What is your diagnosis?

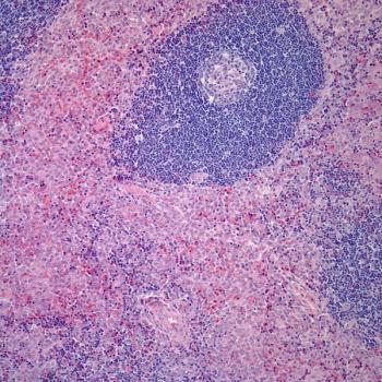
A 23-year-old woman presents with cervical lymphadenopathy and a biopsy is obtained. What is your diagnosis?

A 43-year-old woman presents with symptoms of dyspnea, wheezing, and shortness of breath. Diagnostic imaging reveals a tumor mass partially obstructing the bronchus of the left lung. What is your diagnosis?
.jpg?w=350&fit=crop&auto=format)
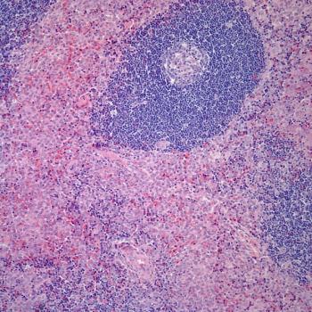
A 34-year-old man presents with axillary lymphadenopathy, and a biopsy is obtained. What is your diagnosis?
.jpg?w=350&fit=crop&auto=format)
A breast nodule is found in a 42-year-old woman, and a biopsy is performed. What is your diagnosis?

A 58-year-old man presents with a mass in his larynx, and a biopsy is obtained. What is your diagnosis?

A 60-year-old man presents with a lesion in the submandibular area, and a biopsy is obtained. What is your diagnosis?