
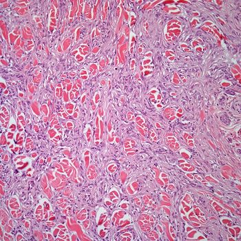
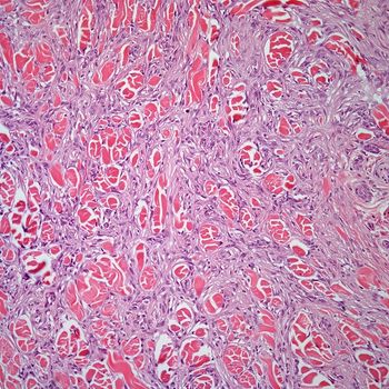
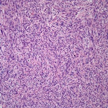
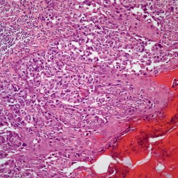
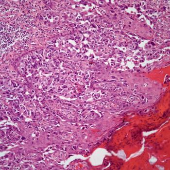
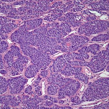
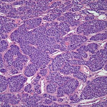
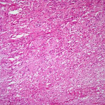
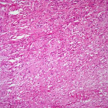
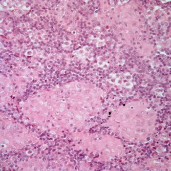
A 32-year-old man presents with a firm nodule in his arm. Resection of the nodule is performed. What is your diagnosis?

Your AI-Trained Oncology Knowledge Connection!


A 32-year-old man presents with a firm nodule in his arm. Resection of the nodule is performed. What is your diagnosis?

A 43-year-old woman presents with abdominal pain and an appendectomy is performed. What is your diagnosis?

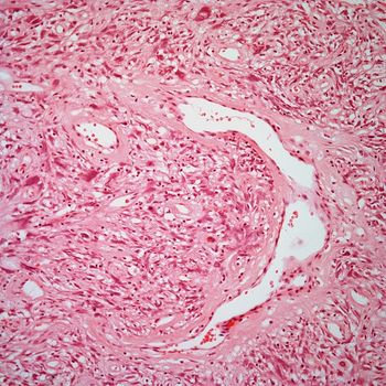
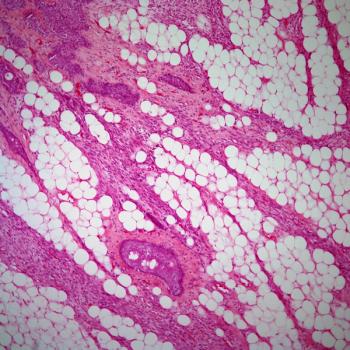
A 73-year-old man presents with a subcutaneous lesion in his right calf. Surgical resection is performed. What is your diagnosis?

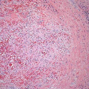
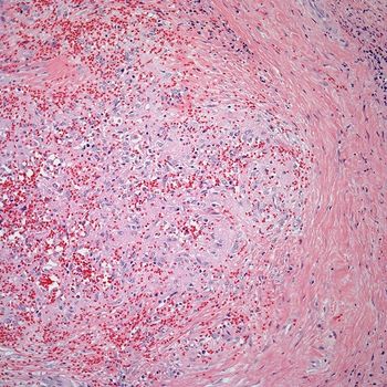
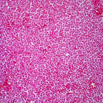
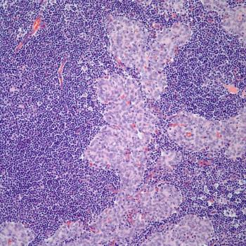
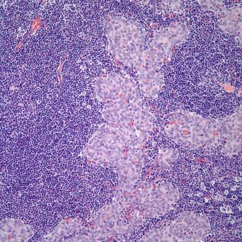
A 52-year-old woman presents with abdominal discomfort, which on physical examination revealed the presence of splenomegaly. A splenectomy is performed. What is your diagnosis?

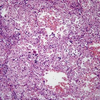
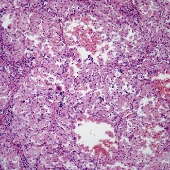
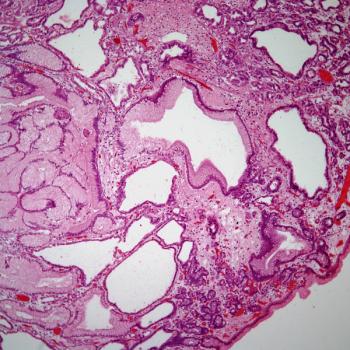
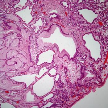
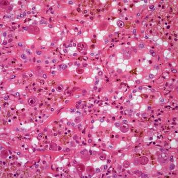
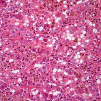
A young child presents with symptoms of fatigue and general malaise. A physical examination reveals the presence of an enlarged liver, and a liver biopsy is performed. What is your diagnosis?

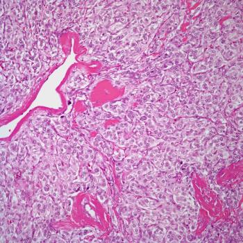
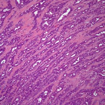
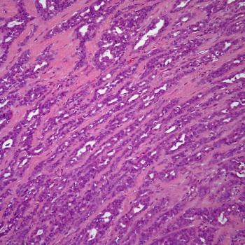
A 43-year-old man presents with a subcutaneous tumoral lesion in his right leg. Surgical resection of the tumor was performed. What is your diagnosis?

A 57-year-old man presents with vague gastrointestinal symptoms, general malaise, and fatigue. Physical exam reveals the presence of enlarged lymph nodes. What is your diagnosis?

A 38-year-old woman presents with symptoms of nausea, sweating, flushing, and heart palpitations. Imaging shows the presence of an adrenal mass. What is your diagnosis?

A 72-year-old woman presents with a lesion on the left posterior thigh. What is your diagnosis?

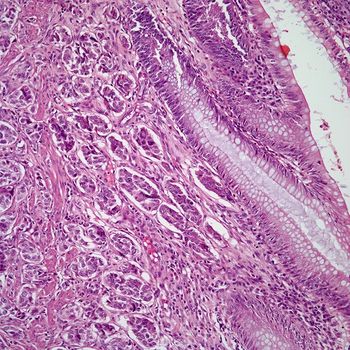
A man presents with a history of gastroesophageal reflux. Endoscopic evaluation shows a nodule in the stomach. What is your diagnosis?

A 45-year-old man presents with neck pain and a mass in the thyroid gland. What is your diagnosis?

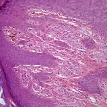
A 34-year-old man presents with a skin tumor in the right chest. What is your diagnosis?

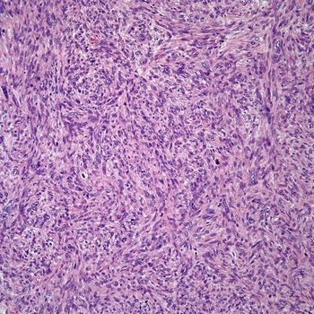
A 43-year-old man presents with a soft tissue mass in the right leg. A biopsy is obtained. What is your diagnosis?

A 52-year-old man presents with dyspnea and chest pain. Imaging shows the presence of a tracheal lesion. What is your diagnosis?

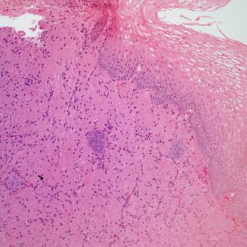
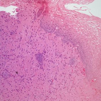
A 43-year-old woman presents with mass lesion in the palate. A biopsy is obtained. What is your diagnosis?

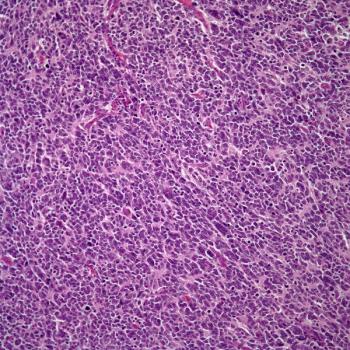
A 23-year-old presents with a painful mass in the right testicle. What is your diagnosis?

A 38-year-old man presents with a mass in the right size of the neck. The mass is not painful. What is your diagnosis?

A 54-year-old man presents with chest pain, cough, shortness of breath, and a mediastinal mass. What is your diagnosis?

A 44-year-old woman presents with a mass in the right side of the neck. The patient complains of general malaise and a cough. What is your diagnosis?

A 54-year-old man presents with symptoms of "reflux." An esophageal biopsy is obtained. What is your diagnosis?