
The Centers for Disease Control and Prevention (CDC) has changed recommendations on the human papillomavirus (HPV) vaccine schedule in 11- and 12-year-old children from 3 doses to 2 doses in at least 6-month intervals.

Your AI-Trained Oncology Knowledge Connection!


The Centers for Disease Control and Prevention (CDC) has changed recommendations on the human papillomavirus (HPV) vaccine schedule in 11- and 12-year-old children from 3 doses to 2 doses in at least 6-month intervals.

Adding seribantumab to paclitaxel failed to improved progression-free survival in unselected patients with platinum-resistant or -refractory ovarian cancer. Expression of heregulin and HER2, however, could identify a subset of patients that derive benefit from the therapy.

The oral PARP inhibitor rucaparib showed strong activity and an acceptable safety profile in women with high-grade, BRCA-mutated ovarian carcinoma who had previously received at least two lines of chemotherapy.

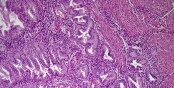
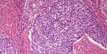
Microsatellite instability analysis and immunohistochemistry analysis are highly concordant with regard to testing for mismatch repair deficiency in endometrial cancer.

The oral PARP inhibitor niraparib yielded significantly improved progression-free survival for women with platinum-sensitive, recurrent ovarian cancer in a phase III trial.

For 5 decades, Maine, Vermont, and New Hampshire have reported a 20% higher rate of bladder cancer than the United States overall. A recent extensive population-based, case-control study sought to evaluate suspected risk factors for these findings -- namely, the presence of arsenic in drinking water from private wells.

The combination of nanoparticle albumin-bound paclitaxel (nab-paclitaxel) and nedaplatin showed promising activity and was relatively well tolerated in a small phase II trial.

The human papillomavirus (HPV) vaccine reduces the incidence of pre-cancerous cervical intraepithelial neoplasia (CIN), according to a population-based study in New Mexico.

In this Medical News Minute, developed exclusively for Cancer Network, Dr. Bobby Lazzara discusses a recent study that found that surveillance with CA-125 in ovarian cancer patients led to more use of chemotherapy, decreased quality of life, and no improvement in survival.

After a review of the published literature, the panel voted on three variants to establish best practices for the utilization of imaging, radiotherapy, and chemotherapy after primary surgery for early-stage endometrial cancer.

The FDA issued a recommendation against the use of any currently available screening tests for ovarian cancer.

Ovarian cancer mortality rates declined significantly in several parts of the world from 2002 to 2012, according to a new study. Among the main reasons for the decline is the use of oral contraceptives, particular in the United States and European Union.

The use of telephone counseling for hereditary breast and ovarian cancer was noninferior to in-person counseling with no significant adverse effects on long-term outcomes.

Over a 10-year period, the use of neoadjuvant chemotherapy increased significantly in women with advanced ovarian cancer, according to a new observational study.

HIV infection significantly decreases survival among women with invasive cervical cancer, according to a study conducted in Botswana. This was the case even though most women with HIV received antiretroviral therapy.

The use of electric power morcellation for hysterectomy has declined since the FDA warned that the procedure, which fragments the uterus into smaller pieces, may result in the spread of undetected malignancies.

In a new practice guideline, the American Society of Clinical Oncology offered recommendations on the use of neoadjuvant chemotherapy and interval cytoreduction for women with stage IIIC or IV epithelial ovarian cancer.

A study found that follicle-stimulating hormone receptors are expressed in many ovarian tumors, and not in normal ovarian tissue, thus representing a promising therapeutic target.

A new study is suggesting that combining BET inhibitors with other agents targeting protein kinases might make them more effective in treating cancer.

In this interview we discuss a joint statement from MD Anderson and 68 other NCI-designated cancer centers that calls for increased HPV vaccination for the prevention of cancer.

Low-grade serous ovarian cancer is a rare, slow-growing cancer that is generally resistant to cytotoxic chemotherapy. In the upfront setting, treatment recommendations mimic those of high-grade serous ovarian cancer.

Elevated levels of neopterin were found to be significantly associated with poorer survival outcomes in patients with ovarian cancer.

Researchers are hoping that adding a checkpoint inhibitor to the treatment armamentarium may help improve outcomes in patients with locally advanced or metastatic disease epithelial ovarian cancer.

A small study has found an increased risk for serous or serous-like endometrial carcinoma among women with BRCA1 mutations after undergoing risk-reducing salpingo-oophorectomy without hysterectomy.

A large, prospective analysis showed that risk factors for ovarian cancer demonstrate substantial heterogeneity in their associations with histologic subtypes of the disease.