
The FDA has granted Orphan Drug Designation to the immunotherapy DPX-Survivac, which is in development for the treatment of ovarian cancer.

Your AI-Trained Oncology Knowledge Connection!


The FDA has granted Orphan Drug Designation to the immunotherapy DPX-Survivac, which is in development for the treatment of ovarian cancer.

Fertility preservation for patients diagnosed with early-stage cervical cancer is feasible and has gained acceptance within the gynecologic oncology community.

A group of several ovarian cancer patients have either called or visited me in my office recently to ask for information and validation to begin a vaccine clinical trial on a tropical island in the Atlantic.

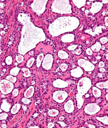
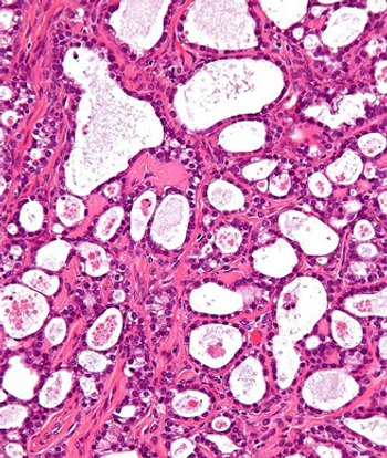
Ovarian cancer progression may be driven by the activation of an endoplasmic reticulum stress response factor that disrupts the function of dendritic cells and, subsequently, antitumor fighting T cells.

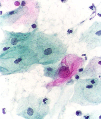
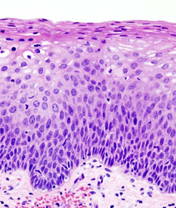
Detection of cervical lesions among young women has decreased since the introduction of HPV vaccines and guidelines calling for reduced cervical cancer screening.

The addition of bevacizumab to carboplatin/paclitaxel chemotherapy increases progression-free survival in advanced/recurrent endometrial cancer patients.


A phase III trial found that primary chemotherapy resulted in similar survival compared with primary surgery in newly diagnosed advanced ovarian cancer patients.

Preoperative albumin level and number of extended cytoreductive procedures in ovarian cancer patients predicted the likelihood of surgical complications.

The purpose of this paper is to provide a review of site-specific treatment options that involve the targeting of angiogenesis in gynecologic malignancies.

In order for there to be a truly clinically significant breakthrough in targeted therapy, we need to further explore the tumorigenesis of gynecologic malignancies and identify the initiators and true drivers of these cancers.

Use of an ovarian cancer risk algorithm that incorporated serum CA-125 screening was able to double the number of invasive epithelial ovarian cancers detected.

Survival for women with ovarian cancer has improved since 1975, according to the results of a recent study.

The HPV 16/18 vaccine protects women from cervical, anal, and oral HPV infections that can lead to cancer, including some women previously exposed to HPV.

Combination treatment with the PARP inhibitor olaparib plus the PI3K inhibitor BKM120 showed a benefit in subsets of breast cancer and ovarian cancer patients.

Researchers have used observational study data to better define risks for breast and ovarian cancers associated with mutations in the BRCA1 or BRCA2 genes.

The use of intraperitoneal chemotherapy for the treatment of advanced ovarian cancer resulted in a survival benefit over intravenous chemotherapy.

Onset of alopecia within the first 3 cycles of chemotherapy was associated with improved survival in ovarian cancer patients who completed 6 cycles of chemo.

Researchers have discovered that ovarian cancers with ARID1A mutations may be sensitive to treatment with an inhibitor of EZH2 methyltransferase activity.

Final results of the trial that led to FDA approval show that a new 9-valent HPV vaccine can reduce cases of HPV and cervical cancer.

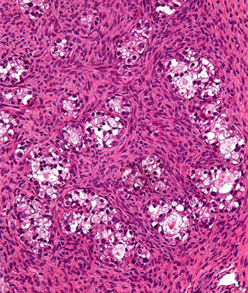
A new study yielded nomograms for the assessment of locally advanced cervical cancer, with prognostic factors including histology, performance status, and others.

Cervical cancer survivors saw improvements in self-reported quality-of-life outcomes with a psychosocial telephone counseling intervention, according to a new study.

A large meta-analysis found that women who were users of hormone therapy, even those with less than 5 years of use, had an increased risk of ovarian cancer.

Women in routine gynecologic care expressed willingness to extend screening intervals and use cytology alone or Pap-HPV cotesting if recommended by a physician.

The US Food and Drug Administration has granted Orphan Drug Designation to pelareorep (Reolysin) for the treatment of ovarian cancer.