
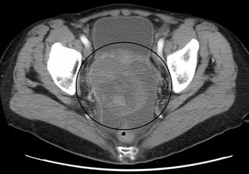
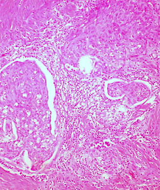
A 71-year-old woman not on hormone replacement therapy presented with uterine bleeding. Dilation and curettage revealed complex hyperplasia with atypia, focal clear-cell features, and endocervicitis. Endometrial intraepithelial carcinoma was suspected.
































































































