
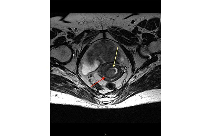
Patients with heavily pretreated vulvar squamous cell carcinoma experienced responses with pembrolizumab monotherapy in a nonrandomized phase 2 trial, regardless of PD-L1 status.

Your AI-Trained Oncology Knowledge Connection!



Patients with heavily pretreated vulvar squamous cell carcinoma experienced responses with pembrolizumab monotherapy in a nonrandomized phase 2 trial, regardless of PD-L1 status.

Hardesty detailed her expectations for the focus of the conference and the exciting topical opportunities presented this year’s SGO Annual Meeting compared with past years.

CancerNetwork® discussed updates in the treatment of gynecologic cancers with Ursula A. Matulonis, MD.

A subanalysis of the PRIMA/ENGOT-OV26/GOG-3012 trial found that quality of life according to patient-reported outcomes was not reduced despite treatment toxicities in those with ovarian, primary peritoneal, or fallopian tube cancer treated with niraparib versus placebo.

A study of patients with gynecologic cancer and COVID-19 found that neither having cancer nor receiving treatment for it worsened COVID-19 outcomes.

Within this study, satisfaction was markedly higher in those treated with apixaban, and adherence rates appeared to be similar between both modalities in women undergoing surgery for gynecologic cancer.

Researchers from a study published in Cancers discovered a new method of detecting endometrial cancer in women via a simple, non-invasive blood test.

A recent clinical trial’s results found that a targeted drug known as adavosertib caused tumors in nearly 30% of patients examined with uterine serous carcinoma, a hard-to-treat form of uterine cancer.

This study found that raising the awareness of general practitioners and highlighting the importance of encouraging immigrant women to participate in cervical cancer screening is a feasible and effective strategy to increase participation in the program.

Agenus received approval from the FDA for fast track designation of balstilimab monotherapy and balstilimab and zalifrelimab combination therapy for the treatment of metastatic cervical cancer.

The FDA granted priority review to pembrolizumab monotherapy for the treatment of adult and pediatric patients with unresectable or metastatic TMB-high solid tumors who have progressed following prior treatment and who have no satisfactory alternative treatment options.

Though inflammatory bowel disease patients are generally at higher risk of HPV-related cancers, this data did not support intensified screening for vulvar or vaginal malignancies in female IBD patients.

Copper intrauterine device users were found to have a lower risk of high-grade cervical neoplasms compared with levonorgestrel-releasing intrauterine system users.

These findings indicate that bone mineral density screening and pharmacologic intervention should be strongly considered for these high-risk women.

The FDA granted fast track designation to balstilimab and zalifrelimab based on comprehensive data found to support their potential as a combination therapy.

The biologics license application was supported by findings from a global, randomized, controlled phase III clinical trial, evaluating the efficacy, safety, and immunogenicity of MYL-1402O versus bevacizumab.

This study suggested that the National Comprehensive Cancer Network Distress Thermometer problem list does not easily identify concerns most associated with high distress and low quality of life in women with gynecologic cancers.

These results could present an opportunity to broaden inclusion criteria on clinical trials and intensify chemoradiotherapy treatments.

Niraparib was approved by the (FDA) for previously treated advanced ovarian, fallopian, or primary peritoneal cancers.

COX7RP contributes to endometrial and breast cancer growth.

Diagnosis of endometrial carcinoma made easier by analysis of mutations in cervix or endometrial tissue.


Immunotherapy could replace chemotherapy in some patients with recurrent/metastatic cervical and vaginal or vulvar cancers.

Researchers examined the results of ribociclib and letrozole as a treatment for patients with estrogen receptor-positive ovarian cancer and endometrial cancer.

The US Food and Drug Administration recently approved a new indication for olaparib for maintenance treatment in adult patients with germline or somatic BRCA-mutated advanced epithelial ovarian cancer.