
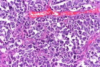
Pirtobrutinib produces a high rate of responses in patients with relapsed chronic lymphocytic leukemia harboring baseline BTK mutations, according to findings from the phase 1/2 BRUIN trial.

Your AI-Trained Oncology Knowledge Connection!


Pirtobrutinib produces a high rate of responses in patients with relapsed chronic lymphocytic leukemia harboring baseline BTK mutations, according to findings from the phase 1/2 BRUIN trial.

The application for amivantamab and lazertinib for locally advanced or metastatic non–small cell lung cancer is supported by data from the phase 3 MARIPOSA trial.


DZD8586 results in favorable safety with limited grade 3 or greater treatment-emergent adverse effects in those with B-cell non-Hodgkin lymphoma, according to data from 2 ongoing phase 1 trials.

“KRAS is probably the most exciting area in clinical trials right now, not only in thoracic oncology but also pancreatic and colorectal cancer, where we’ve seen a lot of combination therapies. My view is the small molecule inhibitors are the base, not the ceiling.”

Investigators indicate that, although treatment with adjuvant/neoadjuvant pembrolizumab results in an absolute decrease in risk of an event, the benefit was not statistically significant in those with untreated, locally advanced gastric/GEJ cancer.

The on-body injector, pegfilgrastim-cbqv, has been approved by the FDA for patients who experience febrile neutropenia after chemotherapy.

Data from the phase 3 SEQUIOA trial may support zanubrutinib as a best-in-class Bruton tyrosine kinase inhibitor in the frontline management of chronic lymphocytic leukemia.

A panel of experts spoke about the armamentarium of bispecific antibody therapies for patients with relapsed/refractory multiple myeloma and discussed step-up dosing considerations for these approved agents.

It may be possible to use anastrozole plus palbociclib, trastuzumab, and pertuzumab in place of chemotherapy in the frontline setting for hormone receptor–positive, HER2-positive metastatic breast cancer, says Amy Tiersten, MD.

A future phase 2 trial may compare anastrozole plus a CDK4/6 inhibitor and trastuzumab or pertuzumab with chemotherapy plus trastuzumab and pertuzumab in hormone receptor–positive, HER2-positive metastatic breast cancer.

Oncoplastic surgery requires collaboration between different surgical teams, pathologists, and radiologists to ensure optimal cosmetic and survival outcomes for patients with breast cancer, says Roshani Patel, MD, FACS.


Belumosudil is the first therapy within England and Wales available for the treatment of patients 12 years and older who have previously undergone a minimum of 2 lines of systemic treatment.

During or after cancer treatment, patients may experience sexual dysfunction leading to a decrease in their quality of life.

After originally releasing the Medicare Prescription Drug Inflation Rebate Program in February 2023, CMS has issued changes which address ongoing drug shortages.

Lower risk of disease progression following treatment with atezolizumab and carboplatin for metastatic triple-negative breast cancer appears to be associated with increases in tumor infiltrating lymphocytes and tumor mutational burden.

Minimal residual disease testing appears to be a valuable tool for predicting outcomes and potential relapse in patients with lymphoid malignancies.

While the overall survival between patients receiving cabazitaxel and those receiving Lu-PSMA-617 had negligible difference, the results of the phase 2 TheraP trial supports the use of Lu-PSMA-617 as an alternative treatment for prostate cancer.

Adding trastuzumab emtansine to tucatinib appears to significantly improve progression-free survival in patients with metastatic HER2-positive breast cancer, says Sara Hurvitz, MD, FACP.

Data from a meta-analysis may provide safety insights for future randomized clinical trials evaluating immune checkpoint blockade in the definitive setting for patients with cancer.

Data from part 2 of the phase 3 RUBY trial support the use of dostarlimab as a backbone for immunotherapy-based combinations in patients with primary advanced or recurrent endometrial cancer.

Measures should be taken to encourage more community oncologists to adopt minimal residual disease testing in patients with lymphoid malignancies, according to Georges Azzi, MD, of Holy Cross Health.

Investigators will assess the safety and preliminary clinical activity of MRBC-101 in patients with EphA5-expressing malignant solid tumors as part of a phase 1/1b trial.

The FDA did not raise any concerns about the clinical data package, safety, or labeling for the approvability of cosibelimab for squamous cell carcinoma.

The safety profile of the phase 3 RELATIVITY-123 trial is not the cause of the discontinuation, as safety is consistent with prior trials assessing the combination.

Those with chronic graft-versus-host-disease who have received allogeneic hematopoietic stem cell transplant may experience enhanced graft-versus-leukemia effects, thus producing a lower relapse rate in acute myeloid leukemia.

In a recent Hot Topics column, Mehmet Sitki Copur, MD, FACP, et al discussed the pros and cons of patients receiving test results early through electronic medical records.

The efficacy of HIPEC plus cytoreductive surgery appears to be consistent across ovarian cancer subgroups based on age, histological type, and pre-surgery laparoscopy in the phase 3 OVHIPEC-1 trial.

Pembrolizumab combined with carboplatin and paclitaxel resulted in response rates in patients with recurrent endometrial cancer.