
Adding ramucirumab to paclitaxel significantly increased survival in patients with metastatic gastric cancer whose disease had progressed on first-line therapy.

Your AI-Trained Oncology Knowledge Connection!


Adding ramucirumab to paclitaxel significantly increased survival in patients with metastatic gastric cancer whose disease had progressed on first-line therapy.

A personalized tool to predict the chances of a prostate cancer overdiagnosis has been developed and could enable better decision-making and tailored patient treatment.

Researchers have developed a new online risk assessment tool that can accurately estimate an individual ’s risk of developing colorectal cancer.

This slide show features some of the highlights to come out of the 2013 San Antonio Breast Cancer Symposium.

Cancer death rates continue to steadily decline, according to the annual cancer statistics report from the American Cancer Society.

This slide show features some of the highlights from the 55th American Society of Hematology Annual Meeting and Exposition.

Adding a spinal or epidural painkiller to general anesthesia during prostatectomy may benefit long-term patients outcomes, according to a large retrospective study.

A new study found that more than half of all patients experience pain 12 months after surgery and adjuvant therapy for breast cancer.

Individuals diagnosed with kidney cancer at age 46 or younger are more likely to have hereditary disease, according to a new study.

Updated recommendations issued by the USPSTF state that primary care physicians should screen women who have a family history of either breast, ovarian, tubal, or peritoneal cancers for BRCA1 or BRCA2 mutations.

Men with early-stage prostate cancer who ate a low-fat diet supplemented with fish oil had lower amounts of pro-inflammation molecules in their blood and lower prostate tumor cell proliferation compared with men who ate a high-fat Western diet.

Beneficial compounds in tomatoes may help lower the risk of breast cancer for postmenopausal women, according to a new study.

In a new study using mice, researchers show that targeting the protein BMI-1 in colorectal cancer can eliminate the self-renewing cell population and lead to long-term inhibition of tumor growth.

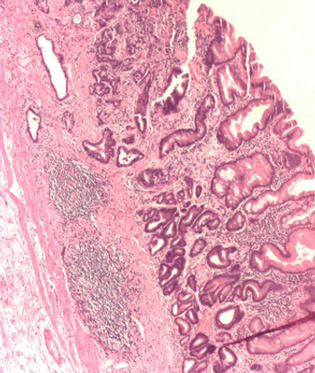
Markers of inflammation should be analyzed and reported in prostate biopsies, according to the results of a new study. Researchers found that negative prostate biopsies that had markers of inflammation were less likely to be diagnosed with prostate cancer in a subsequent prostate biopsy.

Final overall survival results of a trial comparing fulvestrant doses found that postmenopausal women with metastatic, ER–positive breast cancer had a 19% lower risk of death when taking a 500-mg dose compared with a 250-mg dose.

This slide show includes some of the highlights from the 2013 ASCO Breast Cancer Symposium, including a study looking at how many women know their breast cancer risk, a study on cardiovascular risk in DCIS patients treated with radiation, and more.

A study of cancer registry data from 29 European countries shows major improvements in both cancer diagnosis and treatment as well as large differences in outcomes for cancer patients depending on the country where treatment took place.

In a study presented at SABCS, breast cancer patients experiencing moderate joint pain from aromatase inhibitor-therapy had clinically meaningful improvements in pain and stiffness when they participated in an exercise program.

The addition of carboplatin chemotherapy or bevacizumab to the standard neoadjuvant chemotherapy boosted the number of women with triple-negative breast cancer who had no residual cancer at the time of surgery.

The addition of bevacizumab to the combination of chemotherapy and trastuzumab as adjuvant therapy did not influence invasive disease-free survival according to a new study result presented at SABCS.

The number of tumor-infiltrating lymphocytes detected in early-stage HER2-positive tumors may predict a better response to trastuzumab and chemotherapy, according to a study presented at SABCS.

A phase III trial of idelalisib plus rituximab in patients with previously treated chronic lymphocytic leukemia found that the combo improved progression-free and overall survival, according to results presented at the 2013 ASH meeting.

In a study presented at the 2013 ASH meeting, researchers showed evidence that p53 mutations are already present in patients who develop treatment-related MDS and AML, results which could help identify high-risk patients prior to cytotoxic therapy.

The combination of lenalidomide plus dexamethasone demonstrated an improvement in both response rate and survival in newly diagnosed multiple myeloma patients not eligible for a stem cell transplant, according to data presented at the 2013 ASH meeting.

In a front-line trial of older patients with newly diagnosed chronic lymphocytic leukemia, obinutuzumab topped rituximab, demonstrating improvements in response rate and progression-free survival, according to results presented at the ASH annual meeting.

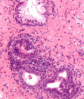
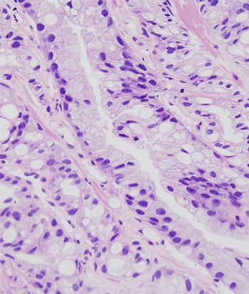
A new study shows that men who have a specific protein marker present in their prostate biopsy may benefit from close follow-up and additional biopsies as they may be at increased risk of developing cancer.

The results of a recently published study on the psychological impact of prostate cancer biopsies show that men who have post-biopsy symptoms have increased anxiety, even if they received a negative diagnosis.

Women with airborne allergies to plants, grass, and trees may have a moderate increased risk of developing blood cancers, according to a new study.

The FDA has approved sorafenib (Nexavar) for the treatment of metastatic differentiated thyroid cancer.

About one-third of patients with advanced cutaneous melanoma treated with MPDL3280A, an antibody against the programmed death 1 ligand (anti-PD-L1) showed a response in a phase I clinical trial.