
Genetic consultation and next-generation sequencing can also complement treatment strategies for patients with pancreatic cancer.

Your AI-Trained Oncology Knowledge Connection!


Genetic consultation and next-generation sequencing can also complement treatment strategies for patients with pancreatic cancer.

Immunotherapy options like CAR T-cell therapy and antigen-presenting cell-directed agents are currently being evaluated in the pancreatic cancer field.

Pancreatic cancer is projected to become the second-leading cause of cancer-related deaths by 2030 in the United States.

In a recent Hot Topics column, Mehmet Sitki Copur, MD, FACP, et al discussed the pros and cons of patients receiving test results early through electronic medical records.

This case presents a patient with locally advanced, unresectable, mismatch repair–deficient sigmoid colon cancer who was treated with neoadjuvant chemoimmunotherapy followed by surgical resection leading to a complete pathologic response after preoperative systemic chemoimmunotherapy.

This study presents a male breast cancer case with a germline BRCA2 mutation and discusses the epidemiologic, pathologic, and clinical characteristics along with treatment and follow-up recommendations in view of our recent understanding of the disease.

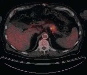
Abstract: Pancreatic neuroendocrine tumors (NETs) are a heterogeneous group of neoplasms. They can be functioning tumors with secretion of a variety of peptide hormones, or nonfunctioning tumors with metastases to the liver at the time of diagnosis. Well-differentiated tumors tend to be slow-growing and characterized by low tumor mutational burden (TMB) and lower propensity to express PD-L1. Hypercalcemia due to malignancy can occur in about 20% to 30% of patients with cancer. The secretion of parathyroid hormone–related protein (PTH-rP) is among the causes of malignant hypercalcemia and has seldom been associated with hypercalcemia of NETs. Although the therapeutic landscape for neuroendocrine neoplasms has evolved substantially over the past decade, the role of immunotherapy has not yet been completely explored in this group of patients. We present a rare case of a metastatic pancreatic NET with high TMB, high PD-L1 tumor proportion score, and high PTH-rP–related hypercalcemia.

Pancreatic ductal adenocarcinoma is a disease marked by high rates of mortality, with only about 7% of patients surviving 5 years after diagnosis. Here, the authors present a demonstrative case and review the available data on hereditary and familial PDAC.

Test your diagnostic knowledge with this month's Image IQ.

Experts present a case of recurrent small cell lung cancer presenting with a cutaneous metastatic nodule in the right breast.

Medical oncologsts discuss the case of a 70-year old woman with synchronous multiple primary lung cancer.

A 79-year-old white man presented with an ulcerated chest wall lesion developing from an existing mole.

A 39-year-old Hispanic male presented with complaints of mucous stools, loss of appetite, rectal bleeding and a 30-pound weight loss within the past several months.


The US Food and Drug Administration recently approved alpelisib plus fulvestrant for the treatment of metastatic or otherwise advanced breast cancer.

Highlights of breast cancer advances at the ESMO Congress.

Burnout is defined as an occupational-related syndrome characterized by physical and emotional exhaustion, cynicism/depersonalization, and low sense of professional accomplishment.


Immune checkpoint inhibitors have demonstrated impressive activity in patients with CRC and other solid tumors that are dMMR. Researchers explore the data.

Clinicians discuss appropriate evaluation and choice of management strategies for cholangiocarcinoma.

Most recently, the FDA approved cabozantinib for the treatment of HCC, but this drug has a history.

Atezolizumab is an immune-checkpoint inhibitor, which has been approved by the US Food and Drug Administration (FDA) in various combinations for a number of cancer types in recent years.

Accuracy of current guidelines for genetic testing of breast cancer patients has been recently challenged by a pair of studies suggesting that these guidelines may miss as many patients with pathogenic variants (or genetic mutations) as they may catch.

A 22-year-old Caucasian woman presents with a four month history of pain, tenderness and swelling in her right breast. What's your diagnosis?

The risk of multiple primary cancers is increasing due to increasing numbers of survivors, long-term side effects of chemotherapy and/or radiation therapy, increased diagnostic sensitivity, and persisting effects of genetic and behavioral risk factors.

A 70-year-old woman developed red-to-violaceous papules, plaques, and nodule- like skin lesions several months prior to her presentation. The skin lesions mostly involved her lower neck and abdominal area. What is the most likely diagnosis?

Cancer Network spoke with Mehmet Sitki Copur, MD, of Morrison Cancer Center, about his work in multiplex genomic testing as part of a 4-year experience in 2 community practices in central rural Nebraska.

Cancer Network spoke with Mehmet Sitki Copur, MD, FACP, medical oncologist at the Morrison Cancer Center, about the most exciting research presented at ASCO in 2019.

Published: December 19th 2023 | Updated:

Published: June 16th 2020 | Updated:

Published: August 13th 2021 | Updated:

Published: June 3rd 2019 | Updated:

Published: June 11th 2019 | Updated: