
Kidney Cancer
Latest News
Latest Videos

More News

Experts share their thoughts on recent advances in treatment options for metastatic renal cell carcinoma and comment on emerging data in the field.

Patients with very high-risk renal cell carcinoma experienced a notable relapse-free survival benefit vs placebo following treatment with everolimus.

Lenvatinib plus pembrolizumab decreased the risk of disease progression or death on second-line therapy by 50% compared with sunitinib in the phase 3 CLEAR trial.

Results of the phase 3 EVEREST trial show adjuvant everolimus improved recurrence-free survival for patients with very high-risk renal cell carcinoma.

In an OncView™ program, David H. Aggen, MD, PhD, Robert S. Alter, MD, Arnab Basu, MD, MPH, FACP, Mehmet Asim Bilen, MD, and Chung-Han Lee, MD, MPH, offer their expert insights for the treatment of RCC.

Interim results from the phase 2 PADRES trial demonstrated that partial nephrectomy may be possible for a subgroup of patients with clear cell renal cell carcinoma with complex masses who received neoadjuvant axitinib.

Results from the phase 2 BIONIKK trial highlighted the feasibility and positive impact of selecting patients with metastatic clear cell renal cell carcinoma for treatment with nivolumab plus or minus ipilimumab and a VEGFR-tyrosine kinase inhibitor based on molecular phenotype.

Robert Alter, MD, comments on the importance of team-based care and frequent, timely communication in managing patients with RCC.

David Aggen, MD, PhD, identifies dosing strategies that may maximize treatment efficacy while minimizing toxicity in patients with kidney cancer.

Patients with advanced renal cell carcinoma who were treated with lenvatinib plus pembrolizumab had health-related quality of life comparable with sunitinib.


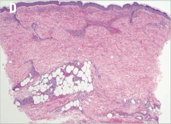
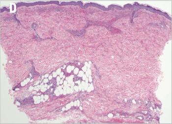
In this installment of Clinical Quandaries, Justine Panian, BS, and colleagues present a case of a 60-year-old Mexican woman with fevers, abdominal pain, and hypertension.

At the 15th Annual Interdisciplinary Prostate Cancer Congress® and Other Genitourinary Malignancies, Peter Humphrey, MD, PhD, spoke about the role of pathology in renal cell carcinoma.

Five-year follow-up findings highlighted a durable benefit among patients with advanced renal cell carcinoma following treatment with nivolumab plus ipilimumab compared with sunitinib.

Gennady Bratslavsky, MD, at the 15th Annual Interdisciplinary Prostate Cancer Congress® and Other Genitourinary Malignancies, spoke about which research in renal cell carcinoma has the greatest potential for clinical impact.

Closing out their discussion on renal cell carcinoma management, experts highlight unmet needs and look toward the future treatment landscape.

Following the advent of adjuvant pembrolizumab in high-risk renal cell carcinoma, experts consider treatment strategies for patients who progress on adjuvant pembrolizumab.

Considerations for whether adjuvant pembrolizumab is the new standard of care for patients with renal cell carcinoma at intermediate or high risk of recurrence.

Expert panelists review a clinical scenario of renal cell carcinoma managed with adjuvant pembrolizumab postnephrectomy based on results of the KEYNOTE-564 trial.

At the 15th Annual Interdisciplinary Prostate Cancer Congress® and Other Genitourinary Malignancies, Peter Humphrey, MD, PhD, spoke about how enrollment for specific trials in renal cell carcinoma may incorporate a patient’s tumor histology.

Findings from a preplanned analysis assessing 2 clinical trials of bempegaldesleukin plus nivolumab in renal cell carcinoma and bladder cancer led to a decision to end the combination’s global clinical development program and discontinue all other ongoing clinical trials.

Before closing out their discussion on intermediate-risk RCC, experts review frontline triplet combinations and possible treatment options following relapse after nivolumab-ipilimumab.

Comprehensive discussion on how to best treat patients with renal cell carcinoma and brain or bone metastasis.

Gennady Bratslavsky, MD, spoke about the role of adjuvant therapy in renal cell carcinoma at the 15th Annual Interdisciplinary Prostate Cancer Congress® and Other Genitourinary Malignancies.

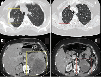
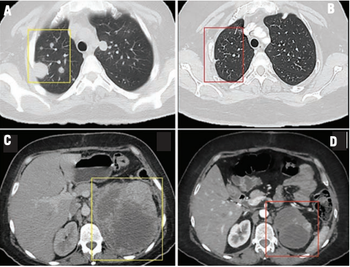
In this installement of Clinical Quandaries, Abigail Mateos-Soria, MD, and colleagues present a case of an 38-year-old woman who has a 3-month history of fatigue, dyspnea, significant weight loss, and severe left flank pain.





































































































