
A complex high-dose combination therapy is tolerable and effective in patients with aggressive B-cell lymphoma that has spread to the central nervous system.

Your AI-Trained Oncology Knowledge Connection!


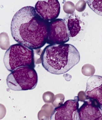
A complex high-dose combination therapy is tolerable and effective in patients with aggressive B-cell lymphoma that has spread to the central nervous system.

Our standard therapies for peripheral T-cell lymphoma may cure a subset of patients, and thus far novel agents have not changed the outcomes for the majority.

This article evaluates the most up-to-date peer-reviewed published work on the treatment of peripheral T-cell lymphoma, and offers a glimpse into the current upfront clinical trial landscape for patients affected by this uncommon disease.

A 45-year-old man with a known history of rheumatic fever and aortic valve replacement 15 years earlier presented with the chief complaint of a 1-month history of progressive, intense, nonmechanical lumbar pain.

Ponatinib yielded complete cytogenetic responses in most patients with newly diagnosed chronic-phase CML, but the risk of vascular events suggests other agents should first be considered.

While the risk of a new treatment-related cancer diagnosis after childhood is known, a new study now shows that this risk remains into the fifth and sixth decade of life.

Adding vosaroxin to cytarabine resulted in no significant improvement in overall survival in patients with relapsed or refractory acute myeloid leukemia, but the trial did suggest that vosaroxin could be an option for salvage therapy in patients aged 60 and older.

Results of a new study have indicated that the risk of developing melanoma may be almost doubled among certain survivors of chronic lymphocytic leukemia/small lymphocytic lymphoma.

Treatment of CML with various tyrosine kinase inhibitors can induce changes in glomerular filtration rate over time and have other kidney-related effects.

Long-term follow-up of a phase II study shows that nilotinib is highly effective in treating chronic phase CML as a first-line therapy, though with relatively common cardiovascular toxicity associated with treatment.

Lymphoma survivors who underwent autologous HSCT may be at greater long-term risk for heart failure and left ventricular systolic dysfunction than previously thought.

Patients with CML undergoing treatment with dasatinib had a narrower spectrum of mutations in BCR-ABL1 compared to those treated with imatinib.

Advanced Hodgkin lymphoma patients who discontinue their treatment with bleomycin and vincristine as part of a BEACOPP regimen did not experience an effect on survival.

Several lymphoma subtypes may present with isolated splenomegaly. Establishing a correct histologic diagnosis is critical, since patient management is largely determined by histology.

Incorporation of PD-1 blockade into the treatment algorithms for hematologic malignancies is currently being pursued in multiple active clinical trials. Here we review the data on anti–PD-1 monoclonal antibodies to date and discuss ongoing and future clinical trials.

While the results of the multitude of ongoing PD-1 blockade trials are eagerly awaited, it is clear that research involving the immunotherapy of blood cancers is moving swiftly through this first “checkpoint” at breakneck speed. It is sure to be a fascinating ride.

Given the favorable results seen thus far, there is no doubt that the treatment of patients with chronic lymphocytic leukemia is entering an exciting new era with the advent of these novel, relatively nontoxic and nonmyelosuppressive, oral agents.


Beliefs regarding medication for chronic myeloid leukemia (CML) are strongly associated with suboptimal treatment adherence, according to a new study.

Ponatinib demonstrates continuing clinical activity in chronic-phase chronic myeloid leukemia patients who failed prior treatment with other TKIs.

Obinutuzumab in combination with bendamustine followed by obinutuzumab maintenance improved PFS over bendamustine monotherapy in patients with refractory non-Hodgkin lymphoma.

With a high sensitivity for detecting disease recurrence, follow-up imaging using PET/CT may help to more successfully guide the management of NHL patients at risk for disease recurrence.

A vaccine known as AST-VAC1 was successfully produced from most patients in a phase II trial of patients with acute myeloid leukemia.

Even in the absence of cranial radiation therapy, survivors of childhood acute lymphoblastic leukemia (ALL) have decreased neurocognitive function years later.

This video examines a phase III trial of ibrutinib in combination with bendamustine and rituximab in patients with previously treated chronic lymphocytic leukemia/small lymphocytic lymphoma.