
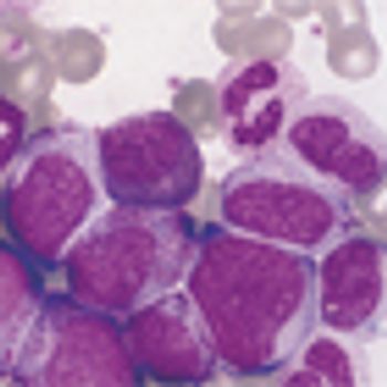
Phase II trial results of the targeted agent ibrutinib in relapsed or refractory mantle-cell lymphoma show that the drug led to promising and durable responses.

Your AI-Trained Oncology Knowledge Connection!


Phase II trial results of the targeted agent ibrutinib in relapsed or refractory mantle-cell lymphoma show that the drug led to promising and durable responses.

Almost half of patients with chronic-phase chronic myeloid leukemia (CML) who discontinued imatinib treatment did not relapse, according to results of a prospective study. Those who did relapse showed continued sensitivity to imatinib when treatment started again.

A phase II study found that an alternative imatinib treatment schedule for elderly patients with chronic myeloid leukemia (CML) could be an effective way to reduce dosing requirements of the drug.

Findings suggesting that obesity substantially impairs the ability of L-asparaginase to kill leukemia cells were reported last month by investigators from The Saban Research Institute, Children’s Hospital Los Angeles.

DLBCL of any stage remains a systemic disease with early hematogenous spread. Thus, arguments advocating the role of IFRT do not truly address disease biology, and all future efforts to cure patients will require improved systemic therapy.

Two studies found higher rates of peripheral artery occlusive disease in nilotinib-treated chronic myeloid leukemia patients than in imatinib-treated patients.

Researchers have characterized acute myeloid leukemia, providing new genetic driver leads to help classify the disease and even stratify AML patients by risk.

Multiple myeloma patients are at increased risk of developing myelodysplastic syndrome or acute leukemia after maintenance lenalidomide or thalidomide treatment, according to a new study.

A group of experts say that cancer drug prices, especially those for chronic myeloid leukemia, have skyrocketed, making patient treatment extremely difficult.

Targeting the bone marrow–specific extracellular matrix osteopontin may be an effective strategy to increase the efficacy of chemotherapy in patients with acute lymphocytic leukemia, according to the authors of a recent study.

A dose-adjusted regimen of etoposide, doxorubicin, and cyclophosphamide with vincristine, prednisone, and rituximab (DA-EPOCH-R) obviated the need for radiotherapy in patients with primary mediastinal B-cell lymphoma in a single-group, phase II, prospective study.

A study of patients with chronic myeloid leukemia treated with imatinib found that chronic fatigue is the major factor that limits health-related quality of life.

A majority of patients on imatinib for treatment of GIST or CML had low or absent levels of osteocalcin, a bone marker secreted by osteoblasts, and about 50% of patients had a decrease in bone mineral density, signaling that long-term treatment may affect bone health in these patients.

CML patients treated with nilotinib had fewer treatment-emergent BCR-ABL mutations than those treated with imatinib, and among patients who did have a mutation, those treated with nilotinib had reduced rates of progression to accelerated phase and blast phase of the disease.

Researchers have identified a novel monoclonal antibody directly targeted against a receptor found in abundance on chronic lymphocytic leukemia (CLL) cells, but not normal B cells. The humanized antibody can directly kill CLL cells.

Researchers have discovered a fully human “T-cell receptor–like” monoclonal antibody specific for the Wilms tumor 1 oncoprotein-an intracellular oncogenic transcription factor that is overexpressed in a wide range of leukemias, as well as solid cancers.

Combination chemotherapy with sequential administration of methotrexate and asparaginase was found to be effective salvage therapy in a small retrospective study of pediatric patients with relapsed or refractory acute myeloid leukemia (AML).

Contrary to previous laboratory findings, a new study has shown for the first time the effect of stem cell burden on treatment outcome, discovering that tyrosine kinase inhibitors, including imatinib and dasatinib, can rapidly eradicate most chronic myeloid leukemia stem cells.

The European Medicines Agency adopted a “positive opinion” earlier this year regarding conditional marketing approval for bosutinib for the treatment of Philadelphia chromosome-positive chronic myeloid leukemia.

Findings of a newly published study by an international team of researchers suggest that targeting growth factor independence 1 (GFI1) may improve the prognosis of patients with T-cell acute lymphoblastic leukemia or other lymphoid leukemias.

Researchers from the University of Rochester have identified BCL2 inhibitors as potential leukemia stem cell-targeting agents, demonstrating that two such inhibitors killed inactive and metabolically slower leukemia stem cells.

New research suggests that a novel, investigative drug could help alleviate some of the resistance to tyrosine kinase inhibitor treatment seen in chronic myeloid leukemia (CML). The drug, a pan-BCL2 inhibitor called sabutoclax, could sensitize malignant leukemic stem cells in the bone marrow niche to TKI treatment.

As patients and physicians gain experience with a second generation of relatively effective therapies for chronic myeloid leukemia, there is increasing need to quickly understand who will fare best with these drugs.

Elderly patients may have several such comorbidities, but their impact on normal life is minimal-and so most of these patients may receive a curative treatment such as R-CHOP. Very elderly patients have more comorbidities with greater impact, with the result that some of their vital organs exhibit functional deficiency.

In this review, we critically analyze clinical trials that were specifically designed for the very elderly, and we discuss the challenges encountered by investigators who are conducting studies in this patient population. We conclude by proposing an algorithm to help clinicians determine the optimal therapeutic strategy for treatment of DLBCL in very elderly patients.