
However, though the CD56 target was confirmed to be expressed in the tumor types studied, the clinical efficacy of lorvotuzumab mertansine was limited.

Your AI-Trained Oncology Knowledge Connection!


The agent annamycin, which offers the potential to fulfill unmet medical needs of traditional anthracyclines, has been granted fast track designation for the treatment of soft tissue sarcoma lung metastases.

However, though the CD56 target was confirmed to be expressed in the tumor types studied, the clinical efficacy of lorvotuzumab mertansine was limited.

A phase 1/2 nonrandomized clinical trial in patients with advanced anthracycline-naïve sarcoma indicated that the treatment combination was well tolerated in this patient population.

These study results “provide insight into the natural history of [retroperitoneal sarcoma] beyond the first and second surgeries for [local recurrences].”

Pomalidomide was approved for patients with AIDS-related Kaposi sarcoma whose disease has become resistant to highly active antiretroviral therapy, or in patients with Kaposi sarcoma who are HIV-negative.

Researchers found that poor infiltration of the tumor by immune cells, low activity from available T-cells, a lack of immune-stimulating neoantigens, and multiple immune-suppressing pathways all combine to dampen responses to immunotherapy in this disease landscape.

The combination of talimogene laherparepvec and pembrolizumab was associated with antitumor activity across a range of sarcoma histologic subtypes in this phase II clinical trial.

The FDA granted accelerated approval of tazemetostat (Tazverik) based on data reported in a phase II clinical trial of the methyltransferase inhibitor.

Sarcomas are relatively rare malignant tumors that arise from mesenchymal cells and therefore encompass a variety of histologies and can occur in any anatomic compartment. The incidence of sarcoma is estimated at 1% of all new cancer diagnoses in the United States annually. Approximately 15% of soft tissue sarcomas occur in the retroperitoneum, with about 1600 new retroperitoneal sarcoma cases diagnosed in the United States each year.

Using RNA sequencing for individual pediatric cancer cases could more effectively target gene expression in tumors.

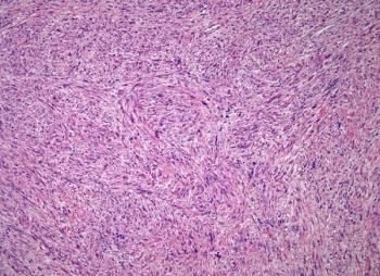
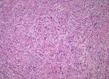
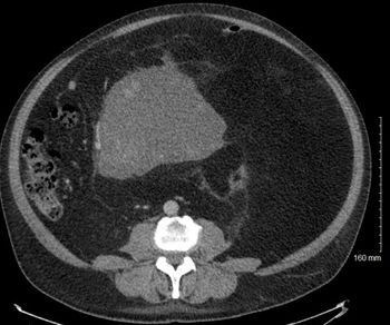
A 51-year-old man noticed abdominal swelling and distention with intermittent abdominal pain, early satiety, and decreased appetite over the past several months. A computed tomography scan of the abdomen is performed. What's your diagnosis?


Dr. von Mehren discusses current considerations and challenges in the management of patients with soft tissue sarcoma, as well as recent clinical trial data.

A phase I trial evaluated the safety and efficacy of adding lymphodepletion to HER2-targeted T-cell therapy in patients with advanced HER2-positive sarcoma.

A new study evaluated whether busulfan and melphalan improve EFS and OS when given after vincristine, ifosfamide, doxorubicin, and etoposide induction.

Retroperitoneal sarcoma is a rare tumor whose diagnosis and management can be challenging and for which management requires a multidisciplinary team.

Six months of maintenance chemotherapy improved OS in children with high-risk rhabdomyosarcoma.

Investigators have discovered that clofarabine and cladribine may be used as a targeted therapy in diseases where CD99 plays a critical role, including Ewing sarcoma and auto-immune disorders.

A comparison of margin classification systems revealed some differences in their ability to determine local recurrence risk for soft-tissue sarcoma.

The GPNMB-targeted agent known as glembatumumab vedotin was reasonably well tolerated and showed some activity in a phase II study of recurrent/refractory osteosarcoma, but this activity was not enough to continue the drug’s evaluation in this setting based on the study protocol.

An analysis of more than 800 patients found that the one-size-fits-all approach to “aftercare” for localized soft-tissue sarcoma is misguided. Local recurrence and distant metastasis occur in a non-constant fashion in the years after treatment, and a time- and risk-adapted strategy for aftercare is warranted.

Treatment with hyperthermia improved survival when added to neoadjuvant chemotherapy for patients with localized high-risk soft-tissue sarcoma.

Lurbinectedin demonstrated clear antitumor activity as a single agent in patients with advanced or relapsed Ewing sarcoma, according to results of a phase II trial.

The first phase II study of cabozantinib in soft-tissue sarcoma yielded several responses, including several subtypes such as alveolar soft-part sarcoma and myxoid liposarcoma.

The combination of durvalumab and tremelimumab offered a modest response rate in unselected patients with heavily pretreated metastatic sarcoma, but higher rates were seen in specific subtypes, including angiosarcoma and alveolar soft-part sarcoma.

NY-ESO-1 SPEAR T-cell therapy showed promising results and was reasonably safe in patients with synovial sarcoma, according to a new study. The addition of fludarabine may be important to achieving those positive results.