
Recently controversy has emerged regarding the extent of resection that constitutes optimal surgical management of retroperitoneal soft-tissue sarcoma.

Your AI-Trained Oncology Knowledge Connection!


Recently controversy has emerged regarding the extent of resection that constitutes optimal surgical management of retroperitoneal soft-tissue sarcoma.

The addition of adjuvant chemotherapy using doxorubicin, ifosfamide, and cisplatin, to pelvic radiation therapy for the treatment of uterine sarcomas increased 3-year disease-free survival in a group of women with localized disease, but also resulted in two toxic deaths among the study group.

Decreasing the time between cycles of standard chemotherapy for Ewing’s sarcoma from 3 weeks to 2 weeks increased event-free survival without an associated increase in toxicity, according to the results of a Children’s Oncology Group report.

Despite its place in standard practice, the performance of pulmonary metastasectomy in patients with sarcoma and lung metastases may not improve the survival rate of these patients, according to information from a systematic review of studies investigating the procedure in this patient population.

Treatment of gastrointestinal stromal tumor (GIST) with regorafenib after prior treatment failure with both imatinib and sunitinib resulted in a PFS survival benefit for patients across all prespecified subgroups.

Results from a phase Ib/II trial presented at the ESMO 2012 Congress found that a tumor-targeting doxorubicin conjugate, aldoxorubicin (INNO-206), showed activity in relapsed soft-tissue sarcoma patients.

Treating resected grade II-III soft-tissue sarcoma with an adjuvant chemotherapy regimen of doxorubicin, ifosfamide, and lenograstim did not result in any increase in relapse-free survival or overall survival.

Earlier today the FDA approved pazopanib (Votrient) to treat patients with advanced soft-tissue sarcoma who have previously received chemotherapy. More than 20 subtypes of sarcoma were included in the clinical trial that led to the approval.

A combination of cixutumumab, a type 1 insulin-like growth factor receptor inhibitor, and temsirolimus, a mammalian target of rapamycin (mTOR) inhibitor, showed evidence of activity in refractory Ewing’s sarcoma tumors as well as small-round-cell tumors in a phase I multicenter clinical study.

Isolated pulmonary metastases (PM) represent a unique manifestation of the myriad presentations of systemic spread from a primary neoplasm.

In this issue of ONCOLOGY, Kon and Martin review the difficult issue of lung metastasis from sarcoma and its management.

Surgical resection of isolated pulmonary metastases has been incorporated into the management of cancer for more than 70 years. However, many questions still remain concerning indications, technique, and efficacy for this approach.

In this article, we provide an extensive review of patient selection criteria and surgical approaches, as well as of controversies regarding resection for metastatic sarcoma.

This rare cancer finally sheds its FDA designation as an orphan disease.

Using FDG-PET/CT, a multidisciplinary team has been able to determine within a short period of time whether neoadjuvant therapy for soft-tissue sarcoma is working.

This case shows the importance of searching for antineural antibodies in oncologic patients with new neurologic deficits, and of having a judicious workup for occult malignancies in patients with known antineural antibodies.

Our case illustrates the fact that MDS-associated GS can be treated palliatively with radiation and hypomethylating agents in an appropriate setting. With the growing geriatric patient population, effective treatment options are needed in this disease.

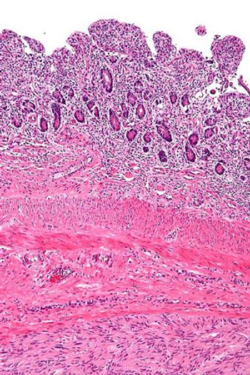
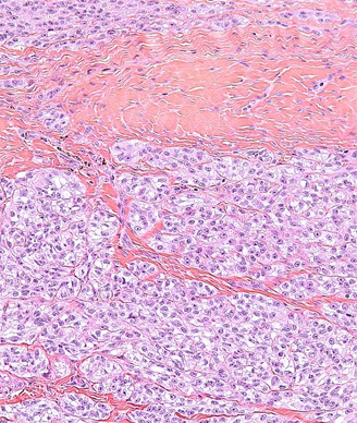
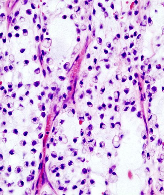
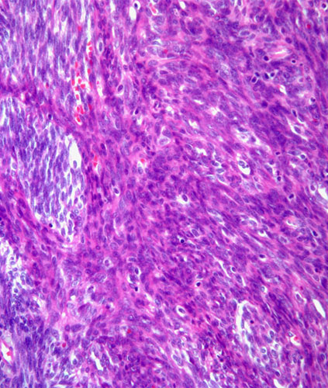
Granulocytic sarcomas have been reported in nearly every part of the body, including the gastrointestinal (GI) and genitourinary (GU) tracts, central nervous system (CNS), and respiratory, lymphatic, and skeletal systems. A few case series have been reported through the years.

Several phase III clinical studies have shown significantly better results in treating certain cancers when hyperthermia therapy was added to radiation therapy, as compared to radiation treatments alone.

BSD Medical Corp announced that the results of a 340-patient randomized phase III clinical trial testing the benefit of adding hyperthermia therapy to chemotherapy were presented at the recent annual American Society of Clinical Oncology (ASCO) conference in Chicago.

The Oncologic Drugs Advisory Committee (ODAC) voted 12-to-2 not to recommend that FDA approve Junovan (mifamurtide, IDM Pharma) for treating newly diagnosed, resectable high-grade osteosarcomas in combination with chemotherapy following surgical resection.

Over the past 30 years, there has been a migration away from amputation and radical ablative surgical procedures and toward more conservative, function-preserving surgery combined with radiation to treat extremity and body wall soft-tissue sarcomas. Efforts are now being focused on optimizing and streamlining treatment, including identifying subpopulations of patients who may be adequately treated by surgery alone. The goal of these efforts is to minimize the risks for short- and long-term treatment-related morbidity while maintaining excellent rates of local tumor control. This report will briefly review the progress made in these areas.

Researchers have developed a two-gene test that can accurately distinguish between two common forms of gastrointestinal cancers.

In patients with adult soft-tissue sarcoma (ASTS), the use and timing of adjuvant chemotherapy or chemoradiotherapy remains controversial. The appropriate target population is generally accepted as International Union Against Cancer (UICC)/American Joint Committee on Cancer (AJCC) stage III extremity or trunk sarcomas (ie, > 5 cm, grade 3/4, located deep to the superficial fascia, with no evidence of metastases). After definitive local treatment, the 5-year disease-free and overall survival rates in this population are approximately 52% and 56%.

Preclinical advances offer an opportunity to further reduce morbidity and mortality from sarcomas over the next decade. Since no single institution or North American cooperative oncology group has the expertise or patient resources for histology-specific clinical and translational research on adult sarcomas, efforts have been made to develop funding from the National Cancer Institute (NCI). One such initiative was the Intergroup Coalition Against Sarcomas (ICAS), which, building upon the strengths of the multimodality cooperative oncology groups, provided an infrastructure for broad participation by investigators from all treatment disciplines in protocol development and patient entry. However, despite an excellent evaluation in formal peer review, the Division of Cancer Treatment of NCI has ended this initiative claiming insufficient available funds—to the detriment of adult sarcoma patients now and in the future.