
Overall survival is expected to continue improving among patients with glioblastoma being treated with frontline olaptesed pegol plus radiotherapy and bevacizumab who remain on the phase 1/2 GLORA study.

Your AI-Trained Oncology Knowledge Connection!


Overall survival is expected to continue improving among patients with glioblastoma being treated with frontline olaptesed pegol plus radiotherapy and bevacizumab who remain on the phase 1/2 GLORA study.

Ritu Salani, MD, highlights the possible benefit of a novel targeted therapy and autologous tumor vaccine in patients with platinum-resistant ovarian cancer, and in the maintenance setting after treatment for platinum-sensitive disease.

Use of an ixabepilone-based companion diagnostic may identify patients with metastatic breast cancer who may benefit from ixabepilone monotherapy.

The FDA sets a Prescription Drug User Fee Act date of January 12, 2024 for the biologics license application for zolbetuximab in the management of Claudin 18.2-positive advanced gastric or gastroesophageal junction adenocarcinoma.

The safety profile of durvalumab plus tremelimumab among those with unresectable hepatocellular carcinoma in the phase 3 HIMALAYA trial was comparable with the known profiles of each individual agent.

In addition to potentially moving mirvetuximab into earlier lines of treatment for those with platinum-sensitive ovarian cancer, Ritu Salani, MD, also discusses combining the agent with carboplatin to decrease toxicities and improve quality of life.

Datopotamab deruxtecan produces no new safety signals among patients with locally advanced or metastatic non–small cell lung cancer in the phase 3 TROPION-Lung01 trial.

Data from the phase 1/2 eNRGy trial assessing zenocutuzumab in patients with NRG1 fusion–positive cancer support the FDA’s breakthrough therapy designation for the agent as a treatment for pancreatic cancer.

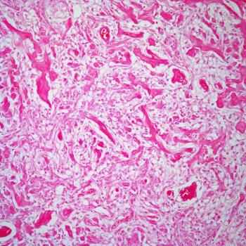
MDNA55 appears tolerable and effective in a cohort of patients enrolled in a phase 2b trial, showing sustained efficacy in subgroup analyses.

Data from a phase 2 trial assessing lenalidomide in patients under 22 years of age also highlight an optimal dose level for this population.

The standard of care for high-risk multiple myeloma remains unsettled, according to an expert panel from Kansas City.

Use of the Cumulative Illness Rating Scale for Geriatrics may identify a greater comorbidity burden and a commensurate increase in risk of death among survivors of childhood cancer vs siblings and others.

Although single-agent cediranib improved outcomes in differentiated thyroid cancer, the addition of lenalidomide does result in a clinically meaningful improvement.

The agent appears to be less effective among patients with HER2-low disease, according to final results from the phase 2 DESTINY-CRC01 trial in metastatic colorectal cancer.

The addition of pembrolizumab to tisagenlecleucel also appears to yield inconclusive efficacy signals and did not augment cellular expansion among patients with diffuse large B-cell lymphoma in a phase 1b study.

Investigators of the phase 1/2 EPCORE NHL-1 trial plan to discuss their findings with global regulatory authorities to determine the next steps for epcoritamab in the treatment of relapsed/refractory follicular lymphoma.

Treatment with mirvetuximab soravtansine appears to produce a 3-fold improvement in objective response rate vs chemotherapy among patients with folate receptor-α–expressing, platinum-resistant ovarian cancer in the phase 3 MIRASOL trial.

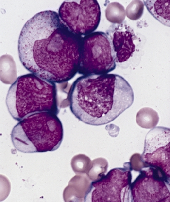
The agent will be evaluated in a phase 1 study for patients with several myeloid malignancies, in which investigators will identify a recommended phase 2 dose.

18F-rhPSMA-7.3 was approved by the FDA for the detection of PSMA-positive lesions during PET/CT imaging in prostate cancer.

The oncolytic adenovirus VCN-01 is under investigation as a treatment for metastatic pancreatic ductal adenocarcinoma in the phase 2b VIRAGE trial.

An experimental cyclophosphamide-based prophylaxis regimen may also elicit a lower rate of chronic graft-versus-host-disease vs standard prophylaxis in patients with hematologic cancers.

Ritu Salani, MD, details the health-related quality of life benefits associated with dostarlimab in the treatment of advanced endometrial cancer, which includes improvements in back and pelvic pain.

Greater age may be an additional risk factor for fatigue among patients with prostate cancer receiving second generation antiandrogen agents, according to a recent systematic review.

Investigators anticipate sharing data from a phase 1/2a trial evaluating inobrodib on its own and in combination with pomalidomide and dexamethasone among patients with multiple myeloma at a future medical conference.

Data appear to support a tailored treatment approach with induction and post–autologous stem cell transplant consolidation daratumumab and CVRd in those with ultra-high–risk multiple myeloma.

Immunogene therapy quaratusugene ozeplasmid will be evaluated in combination with atezolizumab in a phase 1/2 trial for the treatment of small cell lung cancer.

Ritu Salani, MD, describes the concordance between blinded independent central review and provider-assessed outcomes with dostarlimab among patients with advanced recurrent endometrial cancer in the phase 3 RUBY trial.

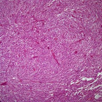
The agent continues to produce ongoing responses in a cohort of patients with undifferentiated pleomorphic sarcoma or myxofibrosarcoma in the phase 2 ENVASARC trial.

Investigators expect to have a readout of topline data from the phase 2 OPTIMIZE-1 trial evaluating mitazalimab plus chemotherapy in metastatic pancreatic ductal adenocarcinoma in early 2024.

A recent Satellite Sessions program hosted by CancerNetwork® brought together experts from different Ochsner Health campuses to discuss the diversity of practices among care providers regarding patient interactions and treatment choices.