
Rectal cancer patients who completed neoadjuvant therapy with a clinical complete response had similar 4-year survival rates as patients who opted for surgery.

Your AI-Trained Oncology Knowledge Connection!


Rectal cancer patients who completed neoadjuvant therapy with a clinical complete response had similar 4-year survival rates as patients who opted for surgery.

Initial treatment with FOLFOXIRI plus bevacizumab in metastatic colorectal cancer patients improved survival over FOLFIRI and bevacizumab by more than 4 months.

In a phase III trial, erlotinib performed no better than placebo when added to sorafenib in treatment-naive patients with advanced hepatocellular carcinoma.

Adding radiotherapy to adjuvant chemotherapy in the ARTIST trial yielded similar results to chemo alone in patients with D2 lymph node-resected gastric cancer.

The results of a recent meta-analysis suggest that carriers of the MLH1 or MSH2 mutations associated with Lynch syndrome could delay regular colonoscopies until age 30.

The US Food and Drug Administration approved lanreotide for the treatment of patients with gastroenteropancreatic neuroendocrine tumors.

Pancreatic cancer patients with long-standing diabetes have poorer survival than those without diabetes, according to an analysis of a pair of studies.

Amgen has halted clinical trials of rilotumumab in gastric cancer after a planned safety review showed an increase in the risk of death with the study drug.

Researchers are estimating that about 3.6% of new cancer cases in 2012 in adults may be attributed to a high BMI, equating to about 481,000 new cancer cases.

A significant proportion of deaths due to colorectal cancer in southern states, and half of deaths due to colorectal cancer nationwide are a result of racial/ethnic, socioeconomic, and geographic disparities.

Researchers have identified a mechanism that could explain how NSAIDs lower the risk of developing intestinal polyps that can transform into colon cancer.

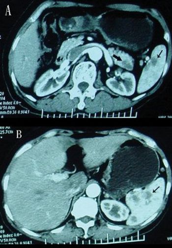
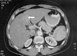
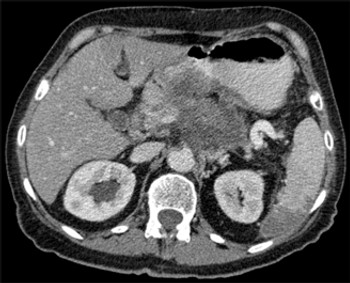
Developing a scoring system for staging patients with hepatic colorectal metastases is important for prognosis and for identifying those who will benefit from additional systemic therapy.

Due to advances in chemotherapy, biologic therapy, and the development of liver-oriented treatment options, the survival of patients with metastatic cancer has more than doubled, and increasing numbers of patients have been cured, even among those with advanced disease.

This article will review the current practice of hepatic resection for colorectal liver metastases, including the possibility of combined resection of hepatic metastases at the time of resection of the primary cancer.

Survivors of multiple myeloma and pancreatic cancer may have some of the poorest physical health-related quality of life outcomes, according to a new study.

The FDA approved ramucirumab (Cyramza) in combination with paclitaxel for treating patients with advanced gastric or gastroesophageal junction adenocarcinoma.

About 9% of pancreatic cancer cases appear to be familial, and the risk of cancer in relatives of these patients does not appear limited to the pancreas.

People who underwent genetic and environmental risk assessment evaluating their colorectal cancer risk were no more likely to undergo screening for the disease.

Only 14% of newly diagnosed lung or colorectal cancer patients reported discussing clinical trial participation with their physician, and fewer participated.

In 2008, 770,000 out of 989,000 gastric cancer cases worldwide were attributed to H pylori, suggesting eradication could yield drastic reductions in incidence.

Adopting a combination of five healthy behaviors is linked to a reduction in the risk of developing colorectal cancer, according to the results of a study.

The management of rectal cancer in patients with metastatic disease at presentation is highly variable. Although chemoradiation is standard for patients with stage II/III rectal cancer, its role in the metastatic setting is controversial.

The management of colorectal cancer is a complex endeavor that requires treatment individualization founded on molecular characterization of the tumor, an in-depth understanding of the patient, and an appreciation of the interaction between the two.

A 35-year study of males in Sweden found a link between obesity and inflammation during adolescence and a risk for colorectal cancer in adulthood.

In a recent study, researchers found that certain amino acids in the blood were associated with a twofold increased risk of a pancreatic cancer diagnosis.