
Adding ramucirumab to FOLFOX did not delay progression in patients with untreated advanced gastric or esophageal adenocarcinoma, according to trial results presented at the 2014 ASCO Annual Meeting.

Your AI-Trained Oncology Knowledge Connection!


Adding ramucirumab to FOLFOX did not delay progression in patients with untreated advanced gastric or esophageal adenocarcinoma, according to trial results presented at the 2014 ASCO Annual Meeting.

First-line treatment with chemotherapy plus either bevacizumab or cetuximab resulted in equally effective outcomes for patients with metastatic colorectal cancer.

The VEGFR-2 tyrosine kinase inhibitor apatinib significantly prolonged overall survival in patients with advanced gastric cancer compared with placebo, according to the results of a phase III study.

As part of our coverage of the ASCO Annual Meeting, we discuss advances in the management of upper gastrointestinal (GI) tract tumors, as well as highlighting clinical trial results that will be reported at the meeting.

As part of our coverage of the 2014 ASCO Annual Meeting, we discuss some of the colorectal cancer research that is expected to be presented at the meeting.

A blood-based test of four biomarkers including CA 19-9 may help clinicians diagnose pancreatic cancer at an earlier stage.

Expression of the p16 tumor suppressor was found to be a prognostic factor for survival in patients with carcinoma of the anal canal.

Urban environments had a higher density of colorectal care providers including gastroenterologists, general surgeons, and radiations oncologists compared with rural environments, according to the results of a recent retrospective study.

A meta-analysis of over 15,000 patients with liver cirrhosis who were diagnosed with hepatocellular carcinoma demonstrates the benefit of screening these patients for liver tumors.

A phase III trial found that MM-398 in combination with other drugs increases overall survival in pre-treated patients with metastatic pancreatic cancer.

Treatment with panitumumab resulted in improved overall survival compared with bevacizumab when added to mFOLFOX6 for patients with wild-type KRAS exon 2 metastatic colorectal cancer.

Points made in commentaries on “Colorectal Cancer: How Emerging Molecular Understanding Affects Treatment Decisions” are addressed by authors Hubbard and Grothey.

A new study shows that people with high levels of the 15-PGDH enzyme who used aspirin regularly were half as likely to be diagnosed with colorectal cancer.

The FDA has approved the angiogenesis inhibitor ramucirumab for the treatment of gastric cancer and gastroesophageal junction adenocarcinoma.

We have yet to establish a standard practice for maintenance therapy in metastatic colorectal cancer. Of course, ideally we could find a biomarker of benefit for patients who should be managed this way, but thus far we have had no such luck.

The addition of cetuximab to chemotherapy containing oxaliplatin and fluorouracil resulted in a significantly shorter progression-free survival in patients with operable KRAS exon 2 wild-type colorectal cancer liver metastases, according to results of a recent study.

The greater distance a patient had to travel to reach a diagnosing facility the more likely that patient was to present with a higher stage disease of colon cancer, according to the results of a recent study.

A high body mass index prior to a colorectal cancer diagnosis is linked to a higher risk of death, even when the patient’s tumor type is generally associated with a better prognosis.

Pathologic and molecular features of gastrointestinal stromal tumors (GIST) were generally not correlated with outcome in a study involving adjuvant imatinib therapy following resection of the primary tumor.

A new study reports that a multitarget stool DNA test is sensitive and accurate and is an improvement over previous DNA stool-based detection tests.

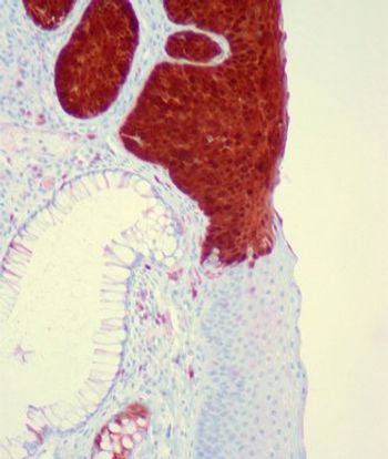
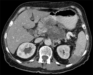
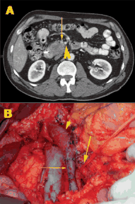
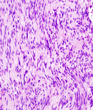
This slide show features a CT image, and pathology images of gastrointestinal stromal tumors (GISTs) arising in the stomach using H&E, CD34, and c-Kit staining.

The rates of colon cancer in US adults aged 50 and older have decreased by 3% per year over the last 10 years, with the largest decrease seen in those over the age of 65.

Current evidence suggests that only four DPYD and TYMS variants should make up the panel of genetic biomarkers for testing for toxicity to capecitabine monotherapy, according to the results of a recent study.

The use of full-spectrum colonoscopy significantly decreased the number of adenomas missed during an examination compared with the use of forward-viewing colonoscopy, according to the results of an international, multicenter study.

A recent exploratory study found that GIST cells showed unexpected sensitivity to certain kinds of chemotherapy drugs not typically associated with the diseases’ treatment.