
A novel agent that inhibits the PD-1/PD-L1 pathway showed good results in particular among smokers with non-small-cell lung cancer, a particularly promising result from a phase I trial.
Your AI-Trained Oncology Knowledge Connection!
A novel agent that inhibits the PD-1/PD-L1 pathway showed good results in particular among smokers with non-small-cell lung cancer, a particularly promising result from a phase I trial.
A phase III study of the therapeutic lung cancer vaccine belagenpumatucel-L (Lucanix) failed to meet its predefined endpoint, but the vaccine showed a “considerable” increase in overall survival in patients with non–small-cell lung cancer.
Researchers used an unbiased bioinformatics approach to identify a class of drugs currently used for non-cancer treatment that could be used to treat small-cell lung cancer, a cancer type for which there are few treatment options.
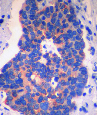
A specific pair of proteins more often found in aggressive smoking-related lung adenocarcinomas could serve as a prognostic biomarker for aggressive disease.
Analysis of 18F FDG-PET standardized uptake values may be a useful technique for predicting survival in patients with inoperable stage III non–small-cell lung carcinoma, according to a new study.
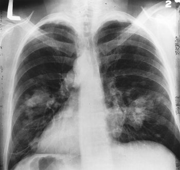
Researchers have identified a novel pathway that promotes bone metastasis of small-cell lung cancer (SCLC). The study is in mice, but points to a potential target that could be exploited to control or prevent metastatic disease.
The Cancer Genome Atlas results have led to some encouraging advances in the clinical perspective on squamous cell lung cancer and spurred new initiatives targeting patients with squamous cell lung cancer, giving us hope for future improvements in clinical management and therapeutic outcomes for this subgroup of lung cancer patients.
The Cancer Genome Atlas provides us with our first thorough insight into the genetic heterogeneity of squamous cell carcinoma of the lung; whether these findings will translate into personalized squamous cell lung cancer therapy is yet to be determined.
Sorting out the clinical implications of genomic data is going to require extensive or perhaps remarkably extensive clinical correlations; obtaining these clinical data will require the cooperation of our patients.
The ratio of two protein levels may predict clinical benefit of EGFR inhibitors. Low levels of a protein called Mig6 (mitogen-inducible gene 6) and high levels of EGFR corresponded to a higher clinical response rate and progression-free survival in a small prospective cohort of lung cancer patients treated with the anti-EGFR therapy gefitinib.
How long ago did we learn that smoking caused lung cancer? The USPSTF is poised to recommend annual screening CT scans for the detection of lung cancer in high risk individuals. Are there enough CT scanners to handle the volume? The LLC’s are forming now to put a dedicated lung screening CT machine next to every convenience store. Get your carton and CT in one stop!
Bench and mouse studies have shown that the Notch1 gene is a crucial contributor to tumorigenesis in non-small-cell lung cancer (NSCLC). It aids tumor initiation by suppressing apoptosis, or programmed cell death, which is regulated by p53.
A randomized phase III trial of adjuvant gefitinib in patients with completely resected non–small-cell lung cancer (NSCLC) was closed early, but available results suggest that the drug is unlikely to benefit this group of patients.
Among non–small-cell lung carcinoma (NSCLC) patients, foreign-born Hispanics show less cancer-related mortality compared with US-born Hispanics and non-Hispanic whites, in part due to social and cultural environment, according to results of a new study.
Identification of a significant micropapillary component within lung adenocarcinomas predicts a higher risk of relapse following lung-sparing surgery, according to results of a new study.
Based largely on evidence from the NLST, the USPSTF recently issued a draft recommendation for annual lung cancer screening using low-dose CT in high-risk individuals.
Results from the National Lung Screening Trial showed that screening for lung cancer with low-dose computed tomography yielded the most benefit among individuals who were at highest risk for cancer and less benefit in lower risk people.
The ALK-inhibitor crizotinib leads to longer progression-free survival than chemotherapy in patients with advanced ALK-positive non-small-cell lung cancer (NSCLC), according to results of a phase III clinical trial.
An assay system for gene expression analysis of paraffin-embedded patient samples is predictive of lung cancer histologic type, according to results published in the Journal of Molecular Diagnostics.
Two new studies show that afatinib, an orally bioavailable ERBB family blocker, could be effective in patients with non–small-cell lung cancer (NSCLC) who progressed on other therapies and in patients with advanced lung adenocarcinomas and EGFR mutations.
The FDA approved afatinib (Gilotrif) as a first-line therapy for patients with metastatic non-small-cell lung cancer whose tumors harbor certain mutations in the epidermal growth factor receptor gene.
A study including 17 cohorts with a total of more than 300,000 individuals found that ambient air pollution of various types contributes to lung cancer incidence across nine European countries.
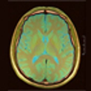
A pair of studies from the ASCO annual meeting examined bone metastases from lung cancer, with one study finding that survival in patients was poorer in patients with bone metastases, and another study finding that the development of bone metastases could predict subsequent development of metastasis in the brain.
Researchers found that the more cost-effective option (surgery vs SBRT) in stage I lung cancer depends on whether the disease is clearly or marginally operable.
Interim results of a small phase II study found a relatively good response rate with dabrafenib in BRAF V600E mutation-positive stage IV non-small-cell lung cancer (NSCLC) patients. The results were presented at ASCO.