
Histone deacetylase (HDAC) inhibitors like romidepsin might improve the efficacy of programmed cell death-1 (PD-1) blockade in lung cancer.

Your AI-Trained Oncology Knowledge Connection!


Histone deacetylase (HDAC) inhibitors like romidepsin might improve the efficacy of programmed cell death-1 (PD-1) blockade in lung cancer.

The Cancer Research Network of Nebraska has initiated a phase II clinical trial of the autologous dendritic cell immunotherapy AGS-003 with standard platinum-doublet chemotherapy for non-small cell lung cancer.

People at high-risk for lung cancer with a clean annual low-dose CT scan had a lower incidence of lung cancer and a lower risk of dying from lung cancer compared with all high-risk participants undergoing screening.

This review focuses on the radiologic and pathologic features of ground-glass opacity nodules, along with the clinical management of these lesions.

Lung cancer exhibits a wide spectrum of behavior, from inconsequential to nonaggressive, typically aggressive, and very aggressive lung cancer. The proportion of “well-behaved” cancers has clearly been increased by the advent of CT screening.

The FDA has announced its approval of crizotinib (Xalkori) for the treatment of patients with non–small-cell lung and ROS1 rearrangements.

In light of the recent announcement by Vice President Joe Biden to infuse the US cancer research program with $1 billion, a so-called “Moon Shot” program, we are speaking today with Giulio Draetta, a clinician and cancer researcher at MD Anderson Cancer Center at the University of Texas in Houston, who leads that center’s Moon Shots program.

A set of autoantibodies was found to be associated with lung adenocarcinoma when compared to smoker control patients, according to a new study.

Allocating chemotherapy treatment based on a comprehensive geriatric assessment failed to improve treatment failure-free survival or overall survival in elderly patients with advanced non–small-cell lung cancer.

Some adult-onset cancer survivors have an increased risk of developing cardiovascular disease later in life compared to noncancer controls.

The term “HER2-positive lung cancer” may actually refer to two distinct entities, according to a new study. HER2 mutations and HER2 amplifications were found in similar numbers of lung adenocarcinoma cases, but they did not occur in the same samples, suggesting HER2-targeted agents should differentiate between mutation and amplification.

A 42-year-old woman presents with bilateral cystic changes in the lungs. What is your diagnosis?

The use of low molecular-weight heparin failed to improve either metastasis-free or overall survival in newly diagnosed lung cancer patients.

Patients diagnosed with non-small-cell lung cancer (NSCLC) at a younger age are far more likely to harbor a targetable genomic alteration than older patients.

This review outlines the diagnostic and therapeutic challenges associated with the increased number of screen-identified indeterminate lung nodules, highlighting currently recommended follow-up and management algorithms, as well as the various methods of nodule localization, tissue diagnosis, and definitive local therapeutic modalities.

Radiologic screening for lung cancer had a long and unsuccessful history until the advent of low-dose computed tomography (CT) screening and the completion of the National Lung Screening Trial, which demonstrated an improvement in lung cancer–specific mortality in a high-risk population.

A study showed that the use of intraoperative frozen section diagnosis correlated strongly with final pathology for peripheral small-sized lung adenocarcinoma.

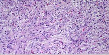
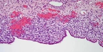
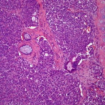
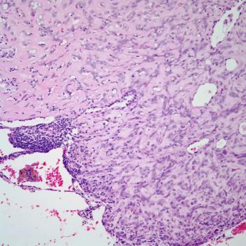
A 41-year-old woman presents with cough and dyspnea. After further evaluation, a bronchial mass is identified and a biopsy is performed. What is your diagnosis?

The ALK inhibitor alectinib was highly active and well-tolerated in patients with ALK-rearranged, crizotinib-refractory, advanced non–small-cell lung cancer.

The FDA has approved necitumumab (Portrazza) in combination with chemotherapy for the treatment of patients with metastatic squamous non-small-cell lung cancer.

The FDA granted accelerated approval to osimertinib (Tagrisso), previously known as AZD9291, for treatment of advanced non-small-cell lung cancer (NSCLC) with the EGFR mutation T790M.

Early-stage lung cancer patients considered to be high risk for surgery can achieve good clinical outcomes with surgical resection, according to a new study.

Pembrolizumab, a PD-1 inhibitor, demonstrated better overall survival and progression-free survival vs docetaxel in non–small-cell lung cancer patients.

This slide show highlights some of the cutaneous side effects related to the use of epidermal growth factor receptor inhibitors (EGFRI).

A large cystic lung mass is found in the right upper lobe of a 3-year-old boy. After further evaluation, a biopsy is performed. What is your diagnosis?