
Oncology teams need to spot emerging immune-related adverse events associated with immunotherapies early in order to avoid treatment discontinuation.

Your AI-Trained Oncology Knowledge Connection!


Oncology teams need to spot emerging immune-related adverse events associated with immunotherapies early in order to avoid treatment discontinuation.

In this interview with Dr. Roy S. Herbst, we discuss the FDA approval of nivolumab for lung cancer as well as other immunotherapies under investigation for the treatment of lung cancer.

A new study identified the molecule known as N1,N12-diacetylspermine as a potential biomarker for early-stage non–small-cell lung cancer.

Differences in failure-to-rescue rates may explain a wide variation in mortality in patients undergoing lung cancer resection at different hospitals, according to a new study.

In this interview, Dr. Sumithra J. Mandrekar talks about umbrella versus basket trials in lung cancer.

New classification guidelines for histologic subtypes of stage I lung adenocarcinoma offer prognostic value, according to a recent study.

Limited resection is not as effective as lobectomy in older patients with early-stage lung cancer, according to a new study.

Six carbonyl compounds in exhaled breath can effectively discriminate between lung cancer patients and healthy patients, says a new study.

Adding tivantinib to erlotinib improved progression-free survival but not overall survival in patients with previously treated non-small-cell lung cancer.

This slide show provides information on the present and future of targeted therapies and immunotherapies based on a report from the IMS Institute for Healthcare Informatics.

Recent progress in lung cancer was a bright spot at the 2015 ASCO Annual Meeting. Several studies were presented that either are practice-changing or will likely lead to practice changes in the future.

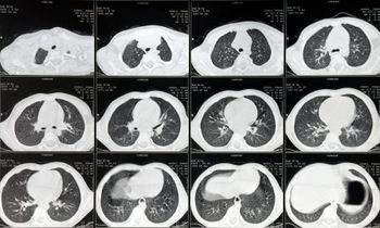
The use of CT-guided radiofrequency ablation is well tolerated and effective among patients with inoperable stage IA non-small-cell lung cancer.

Use of post-operative radiotherapy was associated with better overall survival in patients with incompletely resected stage II/III non-small-cell lung cancer.

Large proportions of lung and colorectal cancer patients believe that surgery will cure their cancer, according to results of a new population-based study.

The combination of pemetrexed/cisplatin was superior to gemcitabine/cisplatin in non-squamous NSCLC patients negative for the thymidylate synthase enzyme.

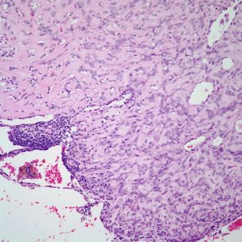
A 39-year-old woman presents with dyspnea and cough. A bronchial mass in found. What is your diagnosis?

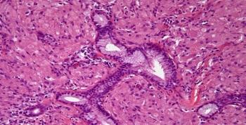
A 51-year-old man presents with a lung mass. What is your diagnosis?

Not surprisingly, this was a very popular topic. I’m not sure why the ASCO planners didn’t anticipate this, because I had to wait a few minutes outside the door to even get in. At one point, it was standing room only!

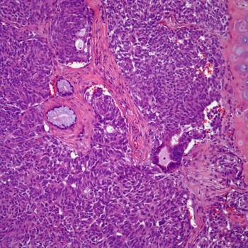
A 46-year-old woman presents with cough and dyspnea. A bronchial tumor is found and a biopsy is performed. What is your diagnosis?

Alectinib yielded good response rates and was very well tolerated in a phase II trial of patients with advanced, ALK-positive non–small-cell lung cancer.

Because treatment options for patients with small cell lung cancer (SCLC) that progress on platinum-based chemotherapy are limited, researchers are looking for new treatments.

In this video, Dr. Paz-Ares discusses a phase III study that showed that nivolumab improved survival and response rates in previously treated patients with metastatic non-squamous non-small-cell lung cancer (NSCLC).

A phase I study showed that transcriptional inhibitor PM01183 with doxorubicin induced responses in patients with small-cell lung cancer.

A phase III study (CheckMate 017) showed that nivolumab (Opdivo) was superior to docetaxel in patients previously treated for advanced or metastatic squamous cell non-small cell lung cancer (NSCLC).

The platinum compound nedaplatin in combination with docetaxel improved outcomes over cisplatin and docetaxel in advanced squamous cell carcinoma of the lung.