
Among active or former smokers undergoing lung cancer screening, longer peripheral leukocyte telomere length is associated with an increased risk of lung cancer.

Your AI-Trained Oncology Knowledge Connection!


Among active or former smokers undergoing lung cancer screening, longer peripheral leukocyte telomere length is associated with an increased risk of lung cancer.

Non-small cell lung cancer can acquire resistance to immune checkpoint blockade agents through evolutionary culling of tumor clones harboring the mutations for cell surface neoantigens that are recognized by patients’ immune T cells.

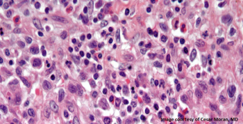
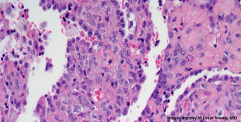
A 38-year-old woman presents with multiple pulmonary nodules. After further assessment a biopsy is performed. What is your diagnosis?

In this interview we discuss the use of liquid biopsies in lung cancer, the pros and cons compared with tissue biopsies, and how they can be used to help make treatment decisions.

Pembrolizumab was associated with clinically meaningful improvements in health-related quality of life compared with platinum-based chemotherapy in NSCLC patients.

The PD-L1 inhibitor atezolizumab significantly improved overall survival compared with docetaxel across subgroups of patients with non–small-cell lung cancer.

Second-line treatment with osimertinib resulted in significantly better progression-free survival compared with chemotherapy alone in patients with EGFR-T790M positive NSCLC, according to the results of the AURA3 trial.

Patients treated with first-line ceritinib had a 45% reduction in the risk for progression of advanced ALK-positive NSCLC compared with chemotherapy.

In this slide show we highlight some of the top news on lung cancer in 2016, including an immunotherapy approval from the FDA, and studies on depression in lung cancer patients, serious side effects to watch for when using immunotherapies, and more.

An updated prognostic tool incorporating gene alteration data could help guide clinical management of patients with non–small-cell lung cancer.

Cabozantinib alone or in combination with erlotinib improved survival outcomes among patients with advanced EGFR wild-type non–small-cell lung cancer.

Researchers at UC San Francisco have recently discovered genetic mutations in a protective protein called Capicua (CIC). The scientists demonstrated that there is a disproportionate frequency of mutated CIC in human lung cancers that have metastasized.

At the 11th Annual New York Lung Cancer Symposium, held on November 12, 2016, in New York City, Roman Perez-Soler, MD, spoke about what is currently understood about resistance to EGFR-targeted therapies and how to treat this population of patients.

Speaking at the 11th Annual New York Lung Cancer Symposium, held on November 12, 2016, in New York City, Howard (Jack) West, MD, medical director of the thoracic oncology program at the Swedish Cancer Institute in Seattle, laid out the available treatment options for patients with treatment-naïve, EGFR-positive NCSLC cancer.

This review highlights those efforts and the role of minimally invasive surgery for early-stage lung cancer in light of evolving technology, the emerging understanding of the biology of early-stage lung cancer, and lung cancer screening.

Patients with ALK-rearranged NSCLC treated with brigatinib showed promising response rates in both crizotinib-treated and crizotinib-naive patients.

Lung resection is gaining momentum among thoracic surgeons because it allows the operating surgeon the convenience of performing a dissection that in many ways is similar to open surgery, yet that has the advantages of a minimally invasive approach. Hopefully, surgical robotics, along with VATS, will make it possible for the thoracic surgery community to offer minimally invasive lung resection to nearly all early-stage lung cancer patients.

Today, we are speaking with Dr. Alexander Drilon, a medical oncologist at Memorial Sloan Kettering Cancer Center in New York City who specializes in treating patients with lung cancer. Dr. Drilon recently spoke at the New York Lung Cancer Symposium held on November 12th on three relatively new molecular drug targets for lung cancer.

A new study looking at PD-L1 expression lung cancer tissue has found that the SP142 assay shows significantly lower levels of PD-L1 expression compared with other available tests.

This Medical News Minute outlines efforts by a number of advocacy groups and medical associations urging the CMS to abandon proposed reimbursement cuts to low-dose CT screening for lung cancer.

I currently have a 68-year-old patient with EGFR-mutated adenocarcinoma of the lung, who presented with metastatic disease to the brain, liver, and bone in late 2014.

The addition of selumetinib to docetaxel failed to improve progression-free and overall survival in patients with KRAS-mutated locally advanced or metastatic NSCLC.

The US Food and Drug Administration (FDA) has approved atezolizumab (Tecentriq®, Genentech) for treating chemotherapy-refractory, metastatic non-small cell lung cancer (NSCLC), Genentech announced.

Adding pembrolizumab (Keytruda) to first-line chemotherapy improves response and survival rates among patients with previously-untreated advanced PD-L1-positive non-small cell lung cancer.

The use of the PD1 inhibitor nivolumab appeared to be feasible and safe in a small study of patients with untreated, stage I–IIIa non–small-cell lung cancer.