
Final results of the trial that led to FDA approval show that a new 9-valent HPV vaccine can reduce cases of HPV and cervical cancer.

Your AI-Trained Oncology Knowledge Connection!


Final results of the trial that led to FDA approval show that a new 9-valent HPV vaccine can reduce cases of HPV and cervical cancer.

The US Food and Drug Administration has approved filgrastim-sndz (Zarxio), a biosimilar of filgrastim (Neupogen), and the first such agent to be approved in the United States.

Ahead of the World Tobacco Congress, Dr. Alan Blum and Cancer Network have partnered to assemble a four-part slideshow series addressing the history of America’s smoking pandemic. Part 1 examines the early evidence linking smoking with cancer.

While chatting with a patient of mine this week, I suddenly realized I had forgotten how long it had been since she was diagnosed. Time moves strangely in the world of cancer, too slow to comfort us, too fast in spiriting us away.

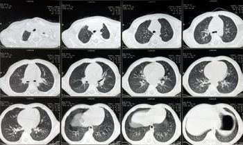
A retrospective analysis suggested that a declining proportion of patients with lung cancer would meet the criteria for undergoing low-dose CT screening.

The risk of early, sudden-onset menopause in women treated for early-stage breast cancer can be reduced with goserelin, a gonadotropin-releasing hormone agonist.

This slide show includes some of the top highlights from the 2015 ASCO Genitourinary Cancers Symposium, including a study that examined the risk of aggressive prostate cancer in testicular cancer survivors and more.

As part of our MBCC coverage we discuss MRI screening for breast cancer in patients who carry a BRCA mutation or have a first-degree relative who is a BRCA carrier.

A recent study found that radiation therapy was effective for the palliation of painful spinal metastases in patients with hepatocellular carcinoma.

A new study suggests that cancer patients do not often request unnecessary and sometimes costly tests or treatments.

This slide show highlights recent studies that examined coffee consumption as it relates to cancer risk, including melanoma, breast and liver cancers, and more.

A new study finds that childhood cancer survivors are at risk for pituitary hormone deficiencies after radiotherapy treatment to the head.

The best, most likely, and worst-case prognostic framework is a helpful tool for discussing median survival with patients in a way that enables them to make sense of the data.

CMS has launched a new multi-payer cancer payment model that reimburses oncologists for episodes of care surrounding chemotherapy treatment, part of a larger effort by the agency to reward physicians based on quality rather than quantity of care.

Women in routine gynecologic care expressed willingness to extend screening intervals and use cytology alone or Pap-HPV cotesting if recommended by a physician.

An inhibitor of osteoclast formation can stop the proliferation of dormant tumor cells that in some breast cancer survivors turn into bone metastases.

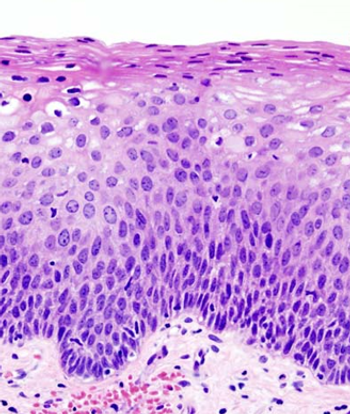
Conservative management of cervical intraepithelial neoplasia (CIN) grade 2 is an appropriate treatment option for women aged 25 years and younger.

Researchers have identified eight specific physical signs associated with death within 3 days, which can help clinicians and families in making care decisions.

I do not want politicians passing laws to tell us how to practice. The legislative process cannot keep pace with changes in medicine.

In this interview we discuss how patient adherence to the American Cancer Society’s cancer prevention guidelines affects cancer risk and mortality.

The benefit of hypofractionated radiotherapy for women receiving breast-conserving therapy for early-stage breast cancer is becoming more apparent.

Adding molecular breast imaging to mammography resulted in a fourfold increase in invasive breast cancer detection rates in women with dense breasts.

This slide show includes some of the highlights from the 2015 ASCO Gastrointestinal Cancers Symposium, including a study that linked vitamin D levels to colorectal cancer outcomes, positive results in pancreatic cancer with a new targeted agent, and more.

Socioeconomic factors are reducing the use of combined-modality treatment for early-stage Hodgkin lymphoma, despite its association with increased survival.

A history of hormonal contraceptive use in younger women for 5 years or more was found to be associated with a possible increased risk of glioma.

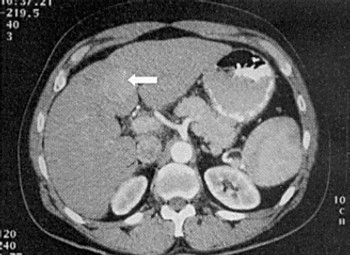
Hepatocellular carcinoma patients with baseline alpha-fetoprotein (AFP) levels greater than 400 ng/mL may derive greater benefit from second-line ramucirumab.

This one-act play features a patient, former smoker, navigating the CMS rules for lung cancer CT screening in a shared decision-making session with his doctor.

A delirious head and neck cancer patient does not have the capacity to make treatment decisions. Can we begin palliative radiation therapy without his consent?

The radiologist could not have known exactly what was in store for me, but it obviously wasn’t good. Couldn’t he have dredged up even a nanoparticle of empathy

An FDA advisory panel unanimously endorsed EP2006, a biosimilar of filgrastim, a biologic used to treat neutropenia caused by chemotherapy treatment.