
The first treatment for a rare tumor called giant-cell tumor of the bone has been approved by FDA. The approval of denosumab (Xgeva) was based on a priority FDA review.

Your AI-Trained Oncology Knowledge Connection!


The first treatment for a rare tumor called giant-cell tumor of the bone has been approved by FDA. The approval of denosumab (Xgeva) was based on a priority FDA review.

Have you ever read someone’s note in the EMR and noticed it says “normal” in every section under physical exam, when in fact, the patient has had a mastectomy, a markedly enlarged liver, 3+ edema, or (horrors!) an amputation that goes undocumented?

The mTOR inhibitor everolimus failed to prove progression-free survival noninferiority compared with the VEGF-targeting tyrosine kinase inhibitor sunitinib when given as first-line treatment in patients with metastatic renal cell carcinoma.

In our commentary, we will address ways to consider this research across the cancer continuum, with a focus on the cancer survivor, highlighting some of the challenges in interpreting the research evidence for translation into clinical practice and noting some research gaps.

Exercise and physical activity are beneficial along the spectrum of care in cancer patients. However, much more research is needed to better understand this association and guide recommendations for patients.

This article will review these intersections of exercise and oncology, discuss the known mechanisms by which exercise exerts its salutary effects, and touch upon the future directions of exercise research in the oncology setting. Finally, recommendations are provided for clinicians to help patients with and without cancer take advantage of the benefits of physical activity.

Collaboration between oncologists and reproductive endocrinologists/infertility specialists not only will improve patient care, but it also will facilitate advances in the field through cooperative research and education.

How often do you refer patients for molecular profiling of a malignant tumor? For which of the following tumor types would you be most likely to recommend molecular profiling? Answer these questions and more.

In the late 1960s, I quickly learned that a large proportion of requests for narcotics in this population were spurious. Patients would simulate renal stone, acute myocardial infarction, and many other painful illnesses in order to obtain narcotic drugs.

The use of magnetic resonance–guided focused ultrasound ablation therapy for the management of painful bone metastases resulted in a high rate of pain response that was rapid, durable, and clinically meaningful, according to an abstract presented at the 2013 ASCO Annual Meeting in Chicago.

The use of a single 8 Gy fraction of re-irradiation for the treatment of painful bone metastases was noninferior to multiple fractions, according to the results of the NCIC CTG SC.20 trial presented at the ASCO 2013 Annual Meeting in Chicago.

Results of a new study indicated that patients with terminal cancer are more likely to have completed a do-not-resuscitate order when they prefer, and believe that their caregiver prefers, comfort at the end of life.






body {background: #000; font-family: Arial, Helvetica, sans-serif; font-size: 12px; color: #FFF; text-align: left; margin-top: 50px;}#wrapper-celgene {border: 1px solid #9c9c9c; width: 965px; padding-bottom: 20px; overflow: hidden; background-image: url(http://imaging.ubmmedica.com/all/editorial/cancernetwork/infocenter/celgene/background-celgene.png); background-repeat:repeat-y;}#cn {font-size: 12px; font-weight: bold; margin-bottom: 10px;}#header {margin-left: 25px;}#footer {font-size: 10px; margin-top: 10px;}#wrapper-content {margin: 5px 0 10px 25px;}#panel-left {width: 635px; float: left;}#panel-right {float: left; margin-left: 25px;}#slide {background-image: url(http://imaging.ubmmedica.com/all/editorial/cancernetwork/infocenter/celgene/slide-off.png);width: 265px;height: 91px;margin-bottom: 7px;}#slide .left{width:90px; height: 90px; float: left; border: 1px solid #9c9c9c;}#slide .right{margin: 15px 0 0; float: right; width: 165px;}#slide-hot {background-image: url(http://imaging.ubmmedica.com/all/editorial/cancernetwork/infocenter/celgene/slide-on.png);width: 265px;height: 91px;margin-bottom: 7px;}#slide-hot .left{width:90px; height: 90px; float: left; border: 1px solid #9c9c9c;}#slide-hot .right{margin: 15px 0 0; float: right; width: 165px;}a {color: #fff;}



We speak with two experts to discuss breast cancer risk, genetics, and prevention options available to women at high risk of developing breast and ovarian cancer.

Palliative radiotherapy is an effective means of alleviating pain and improving overall quality of life in elderly patients with bone metastases, according to a new study.

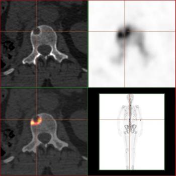
This slide show features images of diffuse osteoblastic bone metastases in a 70-year-old advanced prostate cancer patient, bone metastases in the vertebral column of a kidney cancer patient, and more.

Now is a critical moment for all involved in caring for cancer patients to engage in this national policy debate; numerous cancer advocacy organizations have already joined the effort to oppose the sequester cuts to oncology drugs.

I looked after one of my partner’s patients who is approaching death from advanced, refractory ovarian cancer. She asked me not to talk about anything negative with her. We can’t really make any decisions without discussing negative things. Should I just remain silent about them at her request?

A 46-year-old man sought consultation for an abnormal prostate-specific antigen (PSA) level of 9 ng/mL and one prior negative biopsy. Five months ago, while traveling, he had presented to an urgent care facility with a 24-hour history of fever, chills, nausea, and vomiting.

How many times have you been killed for being the messenger with the bad news? You can often tell who is going to be angry when the CT scan shows recurrent disease. It is one of many things that are so stressful about being an oncologist. Let’s be honest; over the course of our career, we give a lot of bad news.

To my oncologist: You certainly were pleasant and compassionate. You also tended to minimize the gravity of the situation when my disease progressed. I know you’re not psychic, but when things are going badly, don’t be afraid to tell me you’re worried.

This interview covers standards for healthcare provider competency in offering comprehensive genetic services, and highlights genetics/genomics resources for nurses.

A holistic nursing interventions study, presented at the ONS Congress, highlights its ability to reduce anxiety, nausea, and pain, and improve select vital signs.