
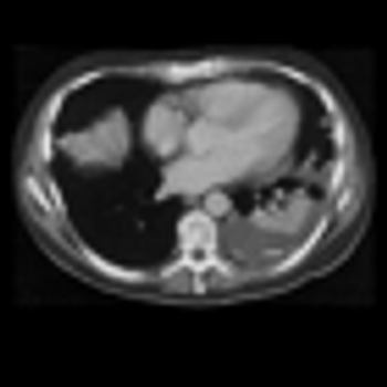
Today, after reviewing a CT scan (and screwing my courage to the sticking-place) I went into an exam room, looked a patient in the eye and said: “The liver lesions have started to grow again. I think we need to change your treatment.”

Your AI-Trained Oncology Knowledge Connection!


Today, after reviewing a CT scan (and screwing my courage to the sticking-place) I went into an exam room, looked a patient in the eye and said: “The liver lesions have started to grow again. I think we need to change your treatment.”

The present guidelines review epidemiology, pathology, presentation, workup, staging, prognostic factors, and treatment options for patients with localized nodal indolent lymphoma, with an emphasis on radiation guidelines, including radiation dose, field design, and radiation techniques.

A new study demonstrates a way to exploit a metabolic vulnerability of senescent cells. The strategy provides evidence for an anticancer approach that targets a cellular process or condition of the cell rather than a distinct molecular pathway.

Based largely on evidence from the NLST, the USPSTF recently issued a draft recommendation for annual lung cancer screening using low-dose CT in high-risk individuals.

A new endoscopy technology called photometric stereo endoscopy, which captures the topography of the colon surface to create a 3D image, could be a more robust way to screen for precancerous lesions of the colon.

Results from the National Lung Screening Trial showed that screening for lung cancer with low-dose computed tomography yielded the most benefit among individuals who were at highest risk for cancer and less benefit in lower risk people.

Both Internet and print-based decision aids equally helped men make important decisions related to prostate cancer screening, but did not affect actual screening rates.

A new study shows that the combination of digital mammography plus tomosynthesis results in fewer false positive results compared with digital mammography alone. Women under the age of 50 and those with dense breasts had the greatest benefit from the combined screening approach.

A meta-analysis by researchers in Australia shows that those infected with the human papillomavirus have a threefold higher risk of developing esophageal squamous cell carcinoma.



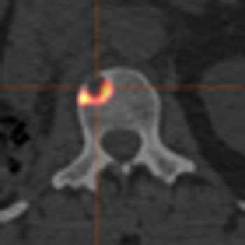
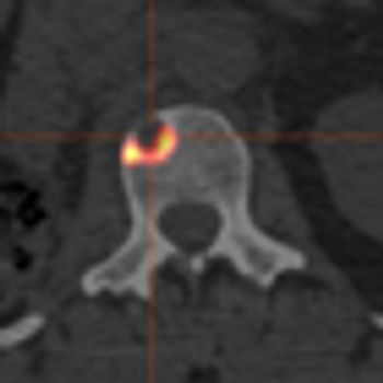
The combination of the chemotherapy capecitabine with external beam radiation was found to be both safe and effective in treating pain from bone metastases in patients with advanced breast cancer.

The ALSYMPCA phase III clinical trial, recently published, demonstrated that radium-223 dichloride was well-tolerated and resulted in an improvement in overall survival by 3.6 months compared with placebo.

There are risks to privacy and informed consent embedded in the many exciting discoveries of personalized approaches to medicine. These risks vary greatly.

A study published today has linked higher stature in women after menopause with a higher risk of developing any of 19 cancer types.

More than one-third of patients with oropharyngeal cancer were seropositive for HPV16 E6 an average of 6 years prior to their cancer diagnosis compared with less than 1% of healthy controls, a new study has found.

Fat. It isn’t said in polite company, and doctors never use it with patients because it is considered rude and inflammatory. But fat is now a disease. OK-obesity is a disease. The American Medical Association has proclaimed it as such, and now we are free to discuss it unhindered by rules of etiquette.

The community oncology practice is the nation’s headquarters in the war on cancer. Eighty-five percent of all cancer patients receive their treatment in local community oncology practices.

A 40-year-old woman with no significant family history of cancer came to me for a second opinion about her widely metastatic infiltrating gastric cancer.



A pair of studies from the ASCO annual meeting examined bone metastases from lung cancer, with one study finding that survival in patients was poorer in patients with bone metastases, and another study finding that the development of bone metastases could predict subsequent development of metastasis in the brain.

A study of colorectal cancer survivors shows those who consume higher amounts of red and processed meats before a colorectal cancer diagnosis are at higher risk of death from any cause compared to those who eat less of both types of meat.

If you or your loved one had cancer, how would you go about picking their treating oncologist? What would you want to know about their experience in that disease? And if a patient asks you how many cases you have treated with their diagnosis, will you look at them and be totally honest?

Today we speak with Dr. Robert Coleman about several new agents that have shown promise in early-stage clinical trials for ovarian cancer.

Bone metastases result in poorer outcomes for those patients with advanced renal cell carcinoma (RCC), who were treated with a molecularly targeted therapy. The results were presented in two separate analyses at the annual ASCO meeting.

Researchers found that the more cost-effective option (surgery vs SBRT) in stage I lung cancer depends on whether the disease is clearly or marginally operable.

Here’s a fun fact: most doctors will be sued at least once during their career. Physicians in high-risk specialties such a surgery have a 99% chance of being sued by age 65; even low-risk specialists have a 75% probability.


A group of cancer and other healthcare advocacy organizations applauded a provision in the Affordable Care Act that requires private insurers to cover the routine medical costs of patients participating in clinical trials. However, many of those patients will continue to face roadblocks to participating in trials unless the federal government provides clear guidance on implementation, the groups said in a recent letter.