
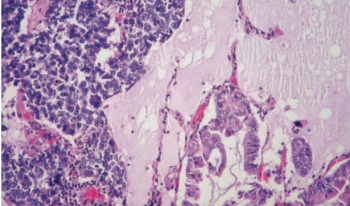
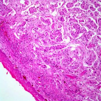
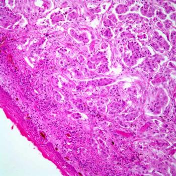
Median radiographic progression-free survival appears to be higher in patients with metastatic castration-resistant prostate cancer treated with 177Lu-PSMA-617 than those receiving androgen receptor pathway inhibitors.

Your AI-Trained Oncology Knowledge Connection!


Median radiographic progression-free survival appears to be higher in patients with metastatic castration-resistant prostate cancer treated with 177Lu-PSMA-617 than those receiving androgen receptor pathway inhibitors.

Data from the phase 3 TROPION-Breast01 trial support datopotamab deruxtecan as a potential treatment option for those with hormone receptor–positive breast cancer.

Treatment with mRNA-4157 plus pembrolizumab yields benefits in resected melanoma subgroups in the phase 2 KEYNOTE-942 trial, including those with BRAF-mutated tumors.

Pembrolizumab plus lenvatinib yields clinically relevant efficacy in clear cell renal cell carcinoma subgroups based on site of metastasis and number of metastatic sites in the phase 3 CLEAR trial.

Data from the phase 3 RUBY trial may support the use of dostarlimab plus chemotherapy as a new standard of care in patients with newly diagnosed primary advanced or recurrent endometrial carcinoma.

Trastuzumab deruxtecan produces enduring responses among patients with HER2-mutated solid tumors in the phase 2 DESTINY-PanTumor01 trial.

Data from the phase 3 EV-302 trial support enfortumab vedotin plus pembrolizumab as a potential standard of care in locally advanced or metastatic urothelial carcinoma.

Cabozantinib may become a new treatment option for those with previously treated advanced neuroendocrine tumors based on data from the phase 3 CABINET trial.

Sotorasib plus panitumumab demonstrate consistent efficacy across key patient subgroups with chemorefractory metastatic colorectal cancer harboring KRAS G12C mutations in the phase 3 CodeBreaK 300 trial.

Data from the INTERLACE trial support induction chemotherapy prior to chemoradiation as a potential standard in locally advanced cervical cancer.

Findings from the phase 3 innovaTV trial support tisotumab vedotin as a potential standard of care for patients with metastatic or recurrent cervical cancer following disease progression.

Treatment with nivolumab plus gemcitabine-cisplatin appears to confer rapid and enduring responses in patients with unresectable or metastatic urothelial carcinoma in the phase 3 CheckMate 901 trial.

Data from the MAGNITUDE trial support the positive benefit/risk profile of niraparib plus abiraterone acetate and prednisone as a treatment for those with BRCA-mutated metastatic castration-resistant prostate cancer.

Subgroup analyses in the phase 3 KEYNOTE-641 trial do not indicate an overall survival improvement with pembrolizumab plus enzalutamide in metastatic castration-resistant prostate cancer.

Those with advanced mucosal melanoma who were treated with lifileucel saw clinically meaningful activity.

Belzutifan vs everolimus saw increased progression-free survival and objective response rate in patients with pretreated advanced clear cell renal cell carcinoma.

Results from the phase 1b/2 ACTIVATE trial showed tolerability among the combination of etigilimab plus nivolumab in patients with recurrent or advanced solid tumors.

Selpercatinib significantly improved efficacy in patients with advanced, multikinase inhibitor–naïve, RET-mutant medullary thyroid cancer.

Amivantimab produces superior progression-free survival in EGFR exon 20 insertion–positive non–small-cell lung cancer.

Patients with RET fusion–positive non–small cell lung cancer experienced improved progression-free survival with first-line selpercatinib.

Alectinib improves disease-free survival in patients with ALK-positive non–small-cell lung cancer.

Central nervous system progression was reduced with osimertinib plus chemotherapy for patients with EGFR-mutated non-small cell lung cancer plus CNS metastases.

Shannon N. Westin, MD, MPH, FACOG, presented results showing a progression-free survival response with combination durvalumab plus olaparib in newly diagnosed advanced or recurrent endometrial cancer.

Neoadjuvant nivolumab combination followed by surgery and adjuvant nivolumab show an improvement in event-free survival for patients with previously untreated resectable stage II to IIIB non-small cell lung cancer.

Results presented at 2023 ESMO showed a prolonged survival benefit in patients receiving adjuvant cemiplimab for stage II-IV cutaneous squamous cell carcinoma.

Belzutifan plus cabozantinib showed continued anti-tumor activity in patients with clear cell renal cell carcinoma.

Results from an updated analysis of the DESTINY-Breast04 trial indicate an efficacy improvement when trastuzumab deruxtecan monotherapy is used for patients with HER2-low metastatic breast cancer.

Central nervous system progression-free survival appears to be longer with trastuzumab deruxtecan than with comparator treatment in those with HER2-positive metastatic breast cancer and brain metastases.

Atezolizumab plus platinum chemotherapy showed significant improvement in progression-free survival for patients with frontline advanced or recurrent endometrial carcinoma.

The phase 2 TROPiCS-03 trial helped elicit responses and disease control in patients with extensive-stage small cell lung cancer who received second-line sacituzumab govitecan.