
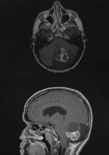
The recommended dose of ceritinib once daily with food demonstrated promising preliminary clinical activity in patients with ALK-positive relapsed/recurrent inflammatory myofibroblastic tumors and anaplastic large cell lymphoma, and certain subsets of relapsed/refractory neuroblastoma.

































































































