
Cancer Network spoke with Rimas V. Lukas, MD, of Northwestern University Feinberg School of Medicine, about the combination of controlled interleukin-12 with a PD-1 inhibitor in recurrent glioblastoma.

Your AI-Trained Oncology Knowledge Connection!


Cancer Network spoke with Rimas V. Lukas, MD, of Northwestern University Feinberg School of Medicine, about the combination of controlled interleukin-12 with a PD-1 inhibitor in recurrent glioblastoma.

Cancer Network spoke with Dr. Shulin Li about his team’s research on the role of the FGL2 protein in glioblastoma immune evasion and tumor progression.

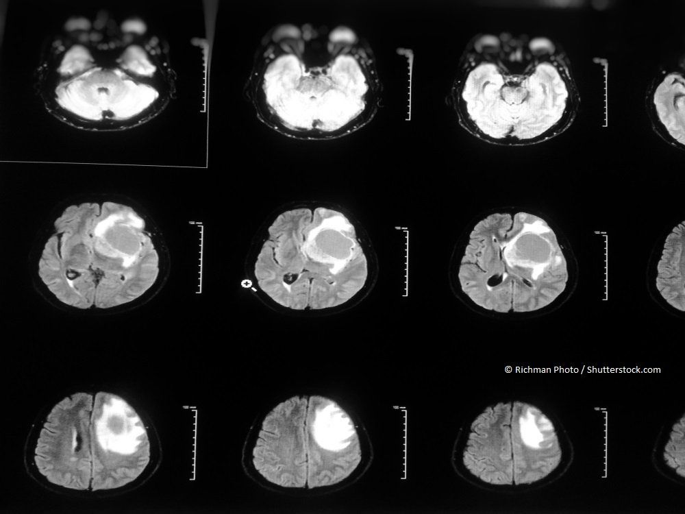
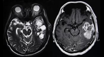
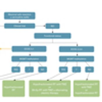
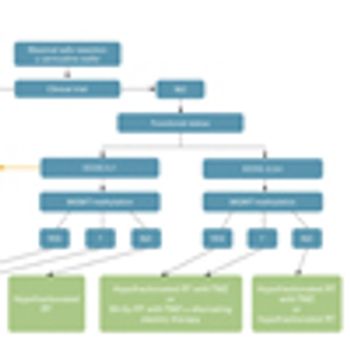
This review focuses on clinical developments and management of newly diagnosed glioblastoma, and includes a discussion about the incorporation of molecular features into the classification of this disease.

Dr. James Perry speaks with Cancer Network about glioma therapy options and the future of brain cancer treatment.

New research published in Neuro-Oncology examines the controversial link between intracranial volume and high-grade glioma.

MRI-guided laser interstitial thermal therapy appears to be safe and effective for glioblastomas and may add an average of 2 months to life expectancy.

Researchers report that the same driving force that makes Zika so detrimental to unborn babies gives it promise as a cancer treatment.

A noncontrolled phase I study in recurrent metastatic glioblastoma showed 3-year survival was five times higher in patients treated with intratumoral PVSRIPO.

These are the first data to highlight the prognostic value of MGMT methylation beyond the IDH1/2 mutation status test currently used to help predict glioma patient survival outcomes.

Antibody-mediated, immunotherapeutic strategies targeting survivin, a key cancer-related protein, may offer benefit in a variety of cancers.

A USCF team has uncovered molecular insights into meningioma biology that could lead to new, less toxic treatment approaches.

In Part 2 of this two-part series, we review the clinical evidence in support of combining immunotherapy with stereotactic radiosurgery for the treatment of brain metastases; examine controversies regarding radiation dose and fractionation, as well as temporal sequencing of multimodality treatment; and discuss future directions in combined therapy.

In this review, we highlight preclinical and clinical data to support the rationale for combination of stereotactic radiosurgery with immunotherapy for the treatment of brain metastases; describe some areas of controversy, especially with regard to radiation fractionation and the timing of combination therapy; and discuss ongoing research into multimodality treatment of CNS tumors.

In Part 2 of this review article, we discuss the management of primary CNS lymphoma, focusing in particular on systemic therapies and radiation, as well as provide clinicians with a comprehensive overview by covering the key investigations that have brought us to our current state of knowledge, and studies that may guide future interventions.

Here, in Part 1, we will provide an overview of the epidemiology of primary CNS lymphoma, followed by a discussion of the diagnostic and staging evaluation. We will also review the current prognostication systems for primary CNS lymphoma.

The addition of tumor-treating fields to maintenance temozolomide chemotherapy significantly delayed progression and improved overall survival in patients with glioblastoma who had received standard radiochemotherapy compared with maintenance temozolomide alone.

The addition of bevacizumab to lomustine for patients with progressive glioblastoma did not result in a significant improvement in overall survival.

More than 25% of patients with recurrent, high-grade glioma treated with a gene therapy combination were alive more than 3 years after treatment, according to data from a subset of patients in a phase I clinical trial.

Given the longer course and natural history of low-grade gliomas, the goals of treatment should be to prolong overall survival and minimize neurocognitive decline.

Patients with resected brain metastases who underwent stereotactic radiosurgery had lower rates of local recurrence compared with observation alone, according to the results of a phase III trial.

A personalized peptide vaccination shows clinical benefit for human leukocyte antigen-A24-positive glioblastoma multiforme patients refractory to temozolomide-based therapy.

The US Food and Drug Administration has approved the optical imaging agent aminolevulinic acid hydrochloride to enhance visualization of malignant tissue during surgery for gliomas.

An intraoperative, multimodal optical cancer detection system can detect brain cancer with high degrees of accuracy, sensitivity, and specificity in real time during surgery, according to a new study.

This review discusses best practices for the treatment of glioblastoma in patients older than 65 years, and highlights management concerns in caring for this particular patient population.

Administration of autologous HER2-specific CAR-modified virus specific T Cells was safe and had clinical benefit for some patients with progressive glioblastoma, a disease with limited effective therapeutic options.