
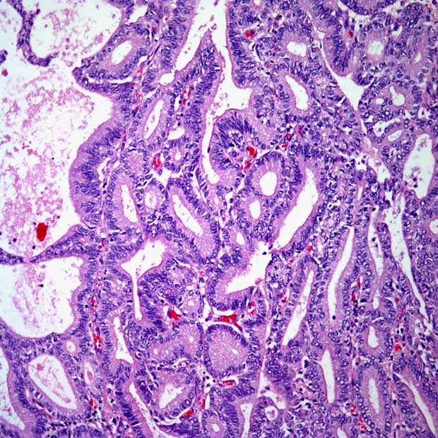
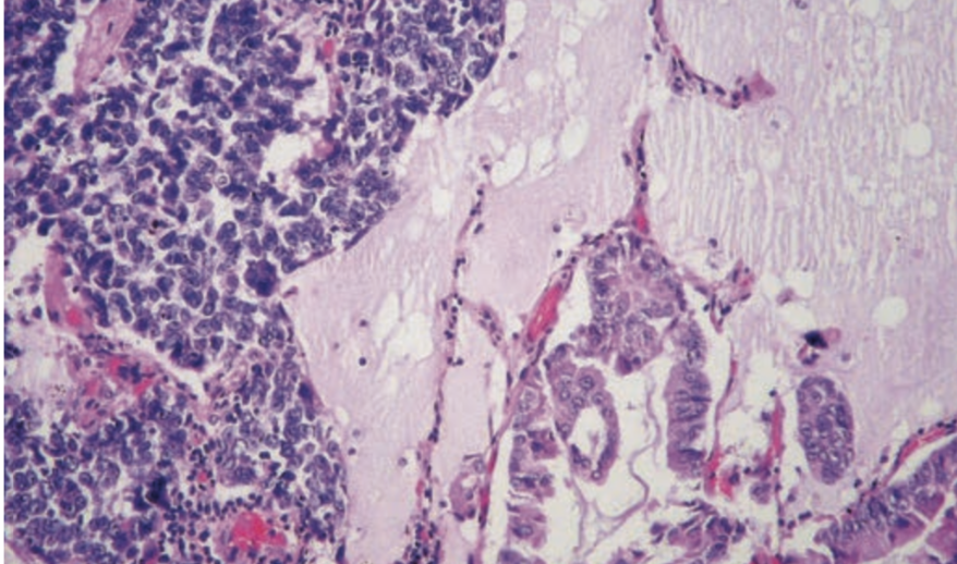
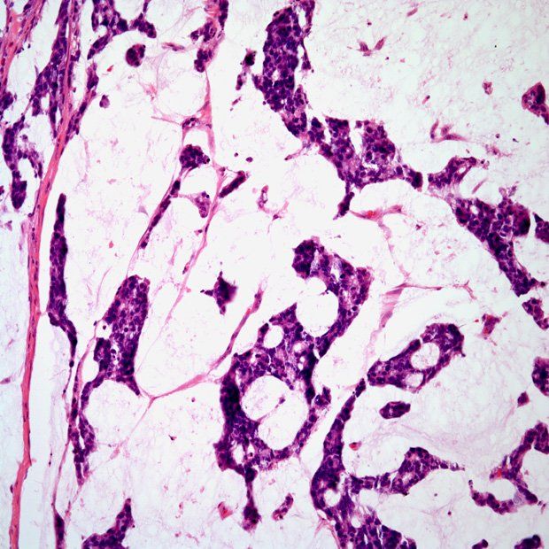
Gastrointestinal Cancer
Latest News
Latest Videos

More News

Findings highlight the challenge of evolving logistics for testing and related decision-making in the treatment of those with gastric or GEJ cancers.

Subgroup analysis of the CALGB/SWOG 80702 trial investigated the impact of ctDNA status on DFS in stage III resected colon cancer patients treated with celecoxib or placebo.

Results from the ACCELERATE trial did not improve relapse-free survival when chemoradiation was added to chemotherapy for patients with resected gallbladder cancer.

The phase 2 EA2186 trial was the first elderly-specific clinical trial evaluating chemotherapy in vulnerable adults with metastatic pancreatic cancer.

Results from the phase 3 LAPIS trial showed pamrevlumab/chemotherapy did not improve survival vs placebo/chemotherapy in locally advanced, unresectable pancreatic cancer.

Nivolumab plus ipilimumab generated an ORR of 36% vs 13% from levantinib plus sorafenib in unresectable hepatocellular carcinoma in the CheckMate 9DW study.

Updated phase 2 results support further investigation of surufatinib plus TAS-012 in a larger cohort of patients with pancreatic ductal adenocarcinoma.

Patients who received cabozantinib experienced a PFS of 8.5 months vs 5.6 months with placebo, a subgroup analysis from the CABINET trial found.

Additionally, data show a trend towards improved overall survival with TACE plus camrelizumab/rivoceranib in the phase 2 CARES-005 study.

Sintilimab plus neoadjuvant chemoradiotherapy yielded a pCR rate of 60% vs 13% from sintilimab plus chemotherapy in patients with locally advanced ESCC.

Phase 1/2 SYLT-023 trial evaluated the efficacy and safety of tislelizumab plus chemotherapy in patients with advanced, HER2-negative, mismatch repair–proficient gastric/GEJ cancer.

Adding trastuzumab and pertuzumab to chemotherapy conferred higher toxicity among patients with HER2-positive gastric cancers in the INNOVATION trial.

Results from the CheckMate 649 trial showed continued efficacy at 5 years in the nivolumab combination for patients with gastric/GEJ/esophageal cancer.

The CheckMate 649 trial found that nivolumab plus chemotherapy lead to a median OS of 14.3 months vs 10.3 months for chemotherapy alone in several gastrointestinal cancers.

Phase 2 results show clinical responses and survival benefits in patients with confirmed HER2-positive expression in gastric/gastroesophageal cancer.

SHR-1701 plus CAPOX chemotherapy elicited fewer chemo delays and dose reductions and improved AE data vs placebo plus CAPOX in HER2-negative gastric/GEJ cancer.

Results from the phase 2 FDZL-001 trial showed high OS and PFS rates when camrelizumab plus Nab-POF was used to treat patients with gastric/GEJ cancer.

Trastuzumab/pertuzumab elicited similar efficacy and fewer high-grade AEs vs cetuximab/irinotecan in RAS/BRAF wild-type, HER2–positive metastatic CRC.

Additionally, adding nab-paclitaxel to gemcitabine/cisplatin confers more toxicity than gemcitabine/cisplatin alone in the phase 3 SWOG S1815 trial.

Everolimus plus lanreotide elicited a PFS of 29.7 months compared with 11.5 months from everolimus monotherapy in patients with gastroenteropancreatic neuroendocrine tumors.

Sessions of interest at the 2025 Gastrointestinal Cancers Symposium will include data on colorectal cancer, pancreatic ductal adenocarcinoma, and more.

Phase 3 EMERALD-1 trial results reveal that no new adverse events were identified with durvalumab plus bevacizumab in patients with unresectable HCC.

Results from the CodeBreaK 300 trial helped lead to the approval of sotorasib/panitumumab in KRAS G12C-mutated CRC.

Adding lenvatinib/pembrolizumab to TACE elicits a numerical overall survival improvement in the LEAP-012 trial, although additional follow-up is necessary.

Phase 1 data support the fast track designation for invikafusp alfa in advanced colorectal cancer with high tumor mutational burden.






















































































