
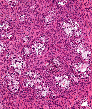
A large meta-analysis found that women who were users of hormone therapy, even those with less than 5 years of use, had an increased risk of ovarian cancer.

Your AI-Trained Oncology Knowledge Connection!


A large meta-analysis found that women who were users of hormone therapy, even those with less than 5 years of use, had an increased risk of ovarian cancer.

The US Food and Drug Administration has granted Orphan Drug Designation to pelareorep (Reolysin) for the treatment of ovarian cancer.

Despite achieving complete surgical resection, advanced epithelial ovarian cancer or primary peritoneal cancer patients with a high disease burden had worse survival outcomes than those with lower disease burden.

Adding the PARP inhibitor veliparib to cyclophosphamide did not improve response rates or progression-free survival in ovarian cancer.

Women with bilateral malignant ovarian germ cells tumors may still have a good prognosis and may be able to maintain fertility with conservative treatment.

ACOG recently released a Committee Opinion on the use of salpingectomy for ovarian cancer prevention in at-risk women undergoing routine pelvic surgery.

Researchers have identified several factors, including breastfeeding and oral contraceptives, that may decrease the risk of BRCA-associated ovarian cancer.

An oncolytic herpes simplex virus had significant efficacy against ovarian cancer when used alone and in combination with standard chemotherapy treatment.

Ovarian cancer cells were detected by collecting and testing DNA specimens taken from the tampons of ovarian cancer patients prior to surgery for a pelvic mass.

Women with an overall higher quality diet prior to diagnosis with ovarian cancer may have a lower risk of all-cause mortality, according to a new study.

Maintenance therapy with pazopanib improved progression-free survival by 5.6 months in advanced ovarian cancer patients, according to results of a new study.

A new clinical practice guideline from the American College of Physicians recommends against conducting routine pelvic exams in average-risk, asymptomatic women.

A new guide developed by nurses and patients with gynecologic cancer offers a much-needed practical resource for women struggling to understand the impact of cancer treatment on their sexual health.



The Society of Gynecologic Oncology (SGO) recently issued two new clinical practice statements recommending genetic testing for all women with endometrial and ovarian cancers, regardless of family history.

A new study found that high concentrations of vitamin C increased the effectiveness of chemotherapy in an ovarian cancer mouse model. A high-dose delivery of the vitamin also resulted in lesser toxicity from chemotherapy in cancer patients.

With regard to potential research strategies relevant to the treatment of triple-negative breast cancer/basal-like breast cancer, potential targets include PTEN, INPP4B, PIK3CA, KRAS, BRAF, EGFR, FGFR1, FGFR2, IGFR1, KIT, MET, PDGFRA, and the HIF1-α/ARNT pathway. Many of these will be discussed further in this review article.

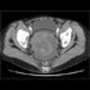
Researchers have demonstrated that a two-step screening test can identify ovarian cancer early, before the disease progresses to an advanced, poor prognosis stage.

While personalized medicine is seen as a way to target an individual cancer patient’s tumors, using targeted agents, immunotherapy, and chemotoxic drugs, researchers are increasingly finding that not only do the cancers of individuals vary widely, but that tumors within a patient can also be quite different at the molecular level.

Using easy-to-obtain risk factors for breast, ovarian, and endometrial cancers, researchers have come up with models that can predict an individual woman’s absolute risk for developing each type of cancer.

In this review, we focus on the testosterone/androgen receptor pathway that is being targeted with potent new agents; we also discuss other important alternative biologic pathways that have given rise to new therapeutics that may attenuate prostate cancer growth, survival, and propagation.

In this review, we examine the currently approved options available for these disease processes, including the newer agents and selected combinatorial approaches under investigation, and we attempt to identify the role of high-dose IL-2 in the context of current clinical practice.

Today we speak with Dr. Robert Coleman about several new agents that have shown promise in early-stage clinical trials for ovarian cancer.

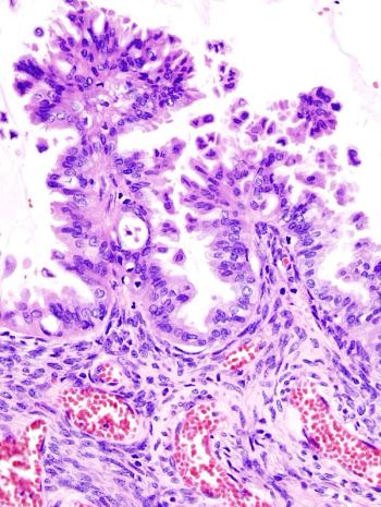
The data on HE4 as a prognosticator in both ovarian and endometrial cancer constitute, at most, an interesting observation, but most likely they are simply a reflection of total tumor burden. There are certainly not enough data to justify making major treatment decisions in ovarian or endometrial cancer on the basis of absolute marker levels. Proteomics and genomics seem more likely to make a difference in this area.