
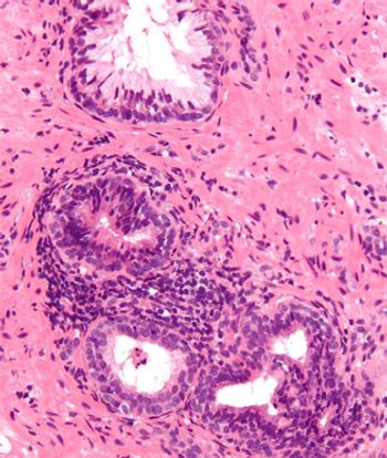
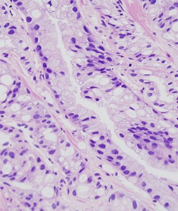
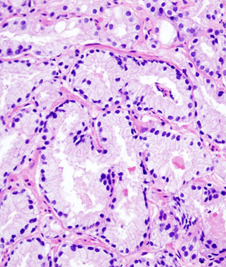
Improved early detection of prostate cancer would ideally involve a noninvasive test that allows clinicians to distinguish aggressive cancers from relatively indolent ones. This distinction is especially important given that relatively few men who undergo screening are destined to die of prostate cancer.



























































































