
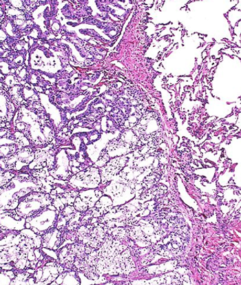
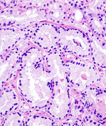
Extended pelvic lymph node dissection represents the most accurate procedure for the detection of lymph node metastases in prostate cancer.

Your AI-Trained Oncology Knowledge Connection!


Extended pelvic lymph node dissection represents the most accurate procedure for the detection of lymph node metastases in prostate cancer.

Men who underwent a vasectomy had a modest increase in the incidence of prostate cancer-and particularly lethal prostate cancer.

Dr. Morris discusses results and implications of the CHAARTED trial, which studied the survival impact of androgen deprivation therapy (ADT) plus docetaxel vs ADT alone for hormone-sensitive newly metastatic prostate cancer.

Upfront surgery allows for greater freedom to use all secondary treatment options for local and distant control, including adjuvant radiotherapy and ADT, thereby hopefully obviating the significant adverse quality-of-life sequelae from salvage surgery and brachytherapy for local relapse.

Under current conditions for patients with newly diagnosed node-positive prostate cancer, the benefits of surgery, if any, are highly unlikely to outweigh the known harms--less is still more.

The results of the CHAARTED trial, which looked at whether the addition of upfront chemotherapy to hormonal therapy improved overall survival in patients with hormone-sensitive metastatic prostate cancer, were presented at the ASCO Annual Meeting.

The investigational therapy orteronel delayed disease progression in patients with metastatic castration-resistant prostate cancer, but did not significantly improve overall survival.

An analysis of clinical trials suggests that the site of a prostate cancer patient’s metastases can predict survival following treatment with docetaxel.

A phase I trial that combined the investigational therapy cabozantinib with the already approved abiraterone acetate in metastatic castration-resistant prostate cancer patients shows that the two agents are tolerable, with the potential for improved efficacy.

Results from the phase III E3805 clinical trial show that adding docetaxel to standard hormone therapy extends survival for men with metastatic hormone-sensitive prostate cancer by 13.6 months.

As part of our coverage of ASCO's Annual Meeting, we discuss the role of chemotherapy in prostate cancer, as well as study results on novel targeted approaches and agents in development for prostate cancer that will be presented at the meeting.

A large study shows that prostate cancer patients who had a PSA-based relapse could delay androgen deprivation therapy until symptoms presented, without affecting long-term survival.

While the multifunctional role of steroid hormones in prostate cancer and men’s health was recognized early, the apparent clinical benefit afforded by ADT tipped the scales in favor of androgen deprivation in men with advanced prostate cancer.

Are there ways in which testosterone administration may be beneficial? Basic science and a number of clinical experiences have suggested for years that steroid hormones may have bifunctional roles.

Researchers at the Moffitt Cancer Center have created a computational model to simulate the bone metastasis process and to predict the outcomes of specific prostate cancer therapies.

This review examines the relevance of a translational framework for studying therapeutic androgens in prostate cancer.

Low testosterone levels may indicate disease worsening in men diagnosed with low-risk prostate cancer who are being evaluated by active surveillance, according to a new study.

In a recent study, the drug tadalafil (Cialis) did not improve erectile function in men undergoing radiation therapy for prostate cancer.

Patients with localized prostate cancer treated with primary androgen deprivation therapy (ADT) without radiation therapy or surgery derived no survival benefit, according to the results of a large study.

There is no question that radiopharmaceuticals have a role in the management of patients with metastatic bone disease. There is also no question that fractionated external beam radiotherapy (EBRT) is highly effective and generally well tolerated when delivered with large open or focal fields.

In order to achieve maximum survival of patients with metastatic castration-resistant prostate cancer, the judicious use of all available effective agents and modalities is required. Both EBRT and radium-223 are effective at relieving pain, but both may decrease bone marrow function.

As new data and new treatment options emerge, palliative radiotherapy algorithms will need to undergo continuous modifications and updates to ensure that patients receive optimal symptom relief.

Moving forward, perhaps no recent development in the use of RT in metastatic prostate cancer has captured greater attention than the use of radium-223 in metastatic castration-resistant prostate cancer (mCRPC).

This review will include discussion of the role of radiation therapy for osseous metastases and metastatic spinal cord compression, as well as the use of radiopharmaceuticals for painful osseous metastases.

It is important for all of us now and then to take a step back and recapture the wonder that we all felt at the onset of our careers, when treatments we now consider simple and routine held an aura of miracle. For me, a little bit of that wonder returns every time I treat a patient with a bony metastasis-in particular, from prostate cancer.