
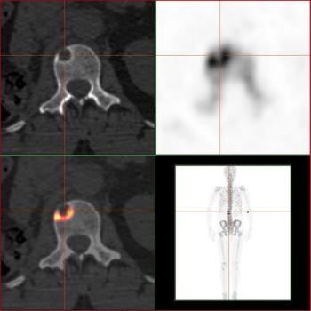
A phase I trial that combined the investigational therapy cabozantinib with the already approved abiraterone acetate in metastatic castration-resistant prostate cancer patients shows that the two agents are tolerable, with the potential for improved efficacy.




























































