
Partner Therapeutics, Inc. announced that its EA6141 study evaluating sargramostim in combination with ipilumimab and nivolumab to treat melanoma was approved to begin enrollment.

Your AI-Trained Oncology Knowledge Connection!



Partner Therapeutics, Inc. announced that its EA6141 study evaluating sargramostim in combination with ipilumimab and nivolumab to treat melanoma was approved to begin enrollment.

The study was evaluating spartalizumab in combination with dabrafenib and trametinib among untreated patients with stage IIIC or stage IV BRAFV600 mutation-positive cutaneous melanoma.

Data released from a phase 2b clinical trial showed statistically significant long-term survival for patients with stage III or IV melanoma at high-risk of recurrence.

The FDA approved atezolizumab plus cobimetinib and vemurafenib for the treatment of patients with BRAF V600 mutation-positive advanced melanoma.

The FDA approved pembrolizumab for patients with recurrent or metastatic cutaneous squamous cell carcinoma that is not curable by surgery or radiation.

Clinically important increases in melanoma risk in patients treated with biologic therapy for common inflammatory diseases cannot yet be ruled out based on current evidence.

The combination of tavo and pembrolizumab was associated with a higher than anticipated response rate in patients with advanced melanoma with low frequencies of checkpoint positive cytotoxic lymphocytes.

Researchers indicated that targeted approaches to improving time from diagnosis to definitive surgery for black patients are essential in reducing racial disparities in melanoma outcomes.

Cemiplimab showed clinically meaningful and durable responses in this group of patients for whom there are no currently approved treatments.

Interim data from cohort B of KEYNOTE-555, a phase I trial evaluating a 400 mg every 6-week dosing regimen of pembrolizumab in patients with metastatic melanoma, demonstrated a consistent benefit-risk profile.

Favorable toxicity profiles and antitumor activity seen in this phase II study of pembrolizumab supports further evaluation of the drug in this patient population.

A study showed that adolescents and young adults with certain types of cancers saw significant improvements in their 5-year mortality rates, while other cancer types saw little to no significant improvement among the same demographic group.

These findings highlight the need to raise public awareness of the importance of self-skin examination, and to encourage clinicians to have a lower threshold for undertaking skin examinations in bereaved individuals, according to the researchers.

In this study, the skin cancer rates were higher among gay and bisexual men, compared with heterosexual men, but lower among bisexual women than heterosexual women.

With February being National Cancer Prevention Month, here are the latest updates in cancer prevention.

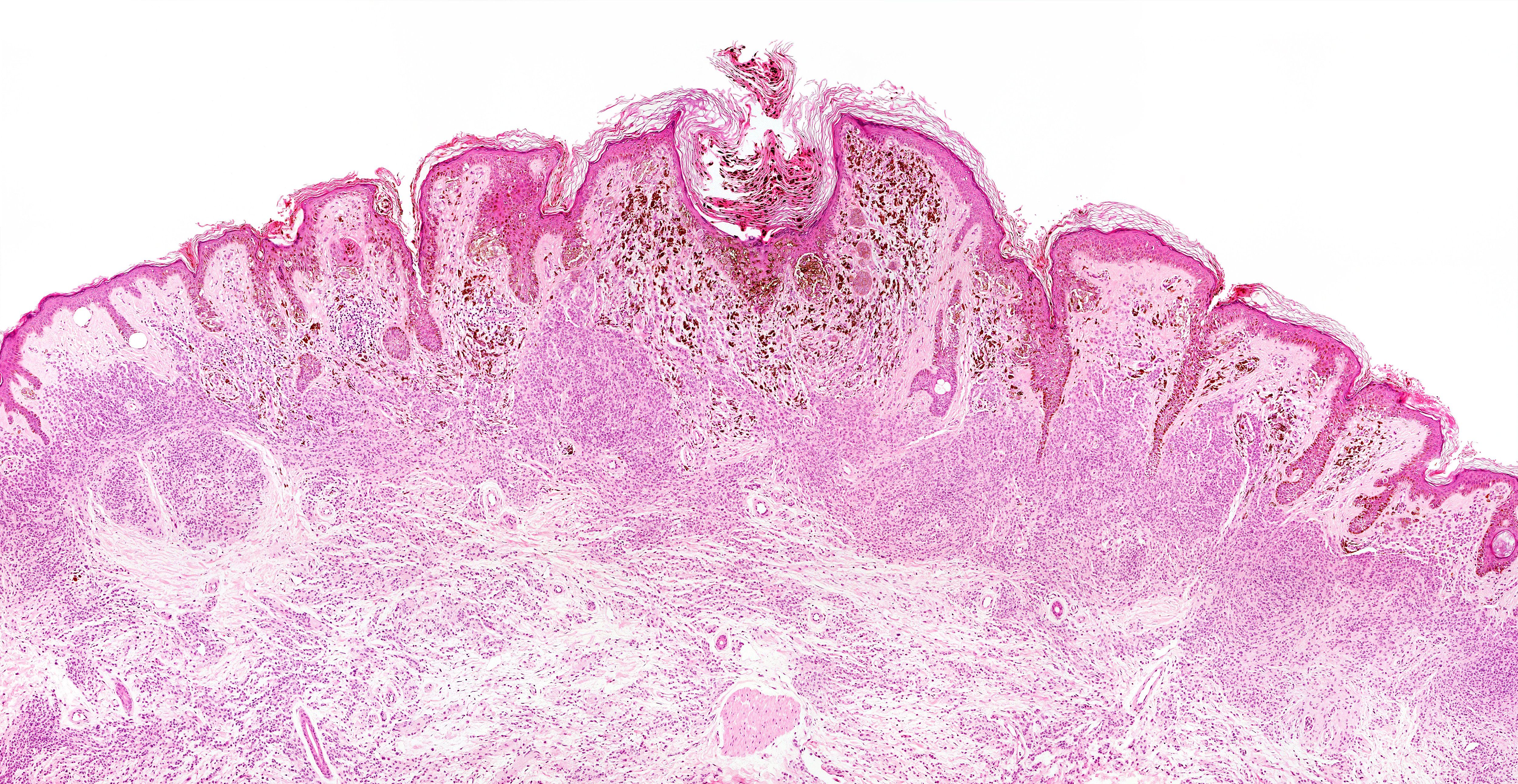
A 79-year-old white man presented with an ulcerated chest wall lesion developing from an existing mole.

A recent study determined circulating tumor cells were associated with melanoma relapse, suggesting that this form of liquid biopsy could help identify patients who would benefit from adjuvant therapy.

The authors indicated that prospective clinical trials investigating DTIC-based systemic chemotherapies and liver-directed treatments are necessary to validate their findings.

The recommendations defined when and how radiation therapy should be used to treat patients with basal cell carcinoma and cutaneous squamous cell carcinoma.

Recommendations defined when and how radiation therapy should be used to treat patients with basal cell carcinoma and cutaneous squamous cell carcinoma.

The combination of encorafenib and cetuximab has shown promise in clinical testing for the treatment of patients with unresectable or metastatic melanoma with a BRAFV600E or BRAFV600K mutation.

The MD Anderson Cancer Center expert discussed how researchers are using genetic alterations to drive specific therapies at the 16th International Congress of the Society for Melanoma Research.

The Memorial Sloan Kettering Cancer Center expert discussed a study he designed to discover why and how melanoma metastasizes, at the 16th International Congress of the Society for Melanoma Research.

Sancy Leachman, MD, PhD, discusses her outreach effort titled “War on Melanoma” at the 16th International Congress of the Society for Melanoma Research.

Poulikos Poulikakos, PhD, discussed combining targeted therapy and immunotherapy for the treatment of patients with melanoma at the 16th International Congress of the Society for Melanoma Research.