
A reduced estimated glomerular filtration rate (eGFR) was found to be associated with a significantly increased risk for renal and urothelial cancer, according to the results of a recently published study.

Your AI-Trained Oncology Knowledge Connection!


A reduced estimated glomerular filtration rate (eGFR) was found to be associated with a significantly increased risk for renal and urothelial cancer, according to the results of a recently published study.

As part of our coverage of the 2014 American Society of Clinical Oncology (ASCO) Annual Meeting, we discuss some of the immunotherapy treatment options for urological cancers.

High-dose interleukin-2 remains an important treatment for patients with metastatic renal cell carcinoma, producing durable responses even in those patients with chronic renal insufficiency, according to a recent study.

A large study shows that prostate cancer patients who had a PSA-based relapse could delay androgen deprivation therapy until symptoms presented, without affecting long-term survival.

While the multifunctional role of steroid hormones in prostate cancer and men’s health was recognized early, the apparent clinical benefit afforded by ADT tipped the scales in favor of androgen deprivation in men with advanced prostate cancer.

Are there ways in which testosterone administration may be beneficial? Basic science and a number of clinical experiences have suggested for years that steroid hormones may have bifunctional roles.

Researchers at the Moffitt Cancer Center have created a computational model to simulate the bone metastasis process and to predict the outcomes of specific prostate cancer therapies.

This review examines the relevance of a translational framework for studying therapeutic androgens in prostate cancer.

An increased intake of vitamin A may result in a decreased risk for bladder cancer, according to the results of a meta-analysis.

Neoadjuvant treatment with dose-dense methotrexate, vinblastine, doxorubicin, and cisplatin was well tolerated and should be considered a reasonable option for patients with muscle-invasive urothelial cancer, according to a new study.

Low testosterone levels may indicate disease worsening in men diagnosed with low-risk prostate cancer who are being evaluated by active surveillance, according to a new study.

In a recent study, the drug tadalafil (Cialis) did not improve erectile function in men undergoing radiation therapy for prostate cancer.

Results from two large cohorts indicated that increasing blood pressure levels were associated with an increased risk for developing kidney cancer among both men and women.

Patients with localized prostate cancer treated with primary androgen deprivation therapy (ADT) without radiation therapy or surgery derived no survival benefit, according to the results of a large study.

The addition of gemcitabine to a cisplatin- and ifosfamide-containing drug regimen resulted in a complete response rate of greater than 50% in patients with relapsed metastatic germ cell tumors, results of a phase II study indicated.

There is no question that radiopharmaceuticals have a role in the management of patients with metastatic bone disease. There is also no question that fractionated external beam radiotherapy (EBRT) is highly effective and generally well tolerated when delivered with large open or focal fields.

In order to achieve maximum survival of patients with metastatic castration-resistant prostate cancer, the judicious use of all available effective agents and modalities is required. Both EBRT and radium-223 are effective at relieving pain, but both may decrease bone marrow function.

As new data and new treatment options emerge, palliative radiotherapy algorithms will need to undergo continuous modifications and updates to ensure that patients receive optimal symptom relief.

Moving forward, perhaps no recent development in the use of RT in metastatic prostate cancer has captured greater attention than the use of radium-223 in metastatic castration-resistant prostate cancer (mCRPC).

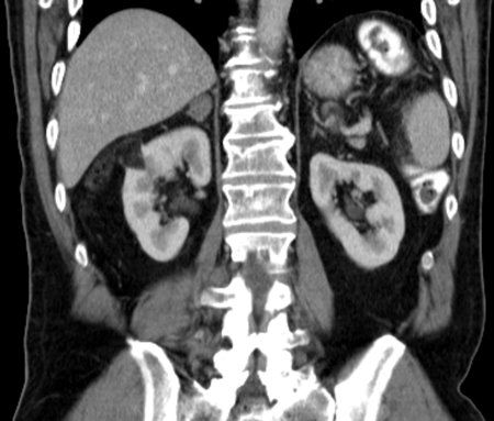
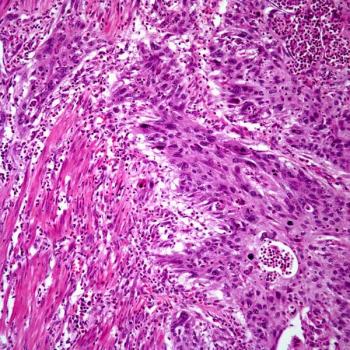
Case History: 60-year-old man with mild right side abdominal discomfort and hepatomegaly found to have large right renal mass during CT scan.

This review will include discussion of the role of radiation therapy for osseous metastases and metastatic spinal cord compression, as well as the use of radiopharmaceuticals for painful osseous metastases.

It is important for all of us now and then to take a step back and recapture the wonder that we all felt at the onset of our careers, when treatments we now consider simple and routine held an aura of miracle. For me, a little bit of that wonder returns every time I treat a patient with a bony metastasis-in particular, from prostate cancer.

A study of patient preference revealed that patients who participated in a crossover trial of pazopanib and sunitinib for metastatic renal cell carcinoma preferred treatment with pazopanib.

A noninvasive DNA methylation test using urine samples from patients with non–muscle-invasive bladder cancer can detect cancer recurrence. The test demonstrated both specificity and sensitivity in detecting recurrence.

Patients receiving treatment with sunitinib for advanced renal cell carcinoma experienced worse treatment-related fatigue during the first cycle of treatment with symptoms lessening after subsequent consecutive cycles.