
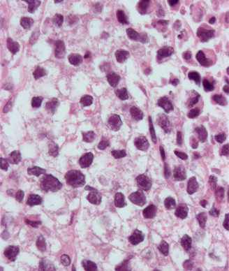
A 72-year-old man is found to have a bladder mass. After further evaluation, a biopsy is performed. What is your diagnosis?

A 72-year-old man is found to have a bladder mass. After further evaluation, a biopsy is performed. What is your diagnosis?

A targeted magnetic resonance/ultrasound fusion–guided biopsy technique produced better results than a standard biopsy for detecting high-risk prostate cancer.

A urine test (CellDetect) was able to detect disease recurrence in bladder cancer patients, with a reported sensitivity of 84.4% and specificity of 82.7%.

Active surveillance is effective and yields good outcomes in patients with clinical stage I testicular cancer who underwent orchiectomy.

Prostate cancer patients who smoke may be more susceptible to complications from treatment, and have increased risk of side effects and disease recurrence.

Group exercise programs can improve the physical and mental well-being of prostate cancer patients, as well as providing emotional and social support.

As a variety of new hormonal agents are increasing survival times for men with metastatic disease, it is becoming increasingly important to consider cardiovascular, renal, and other potentially more serious risks associated with long-term ADT, especially in an aging population.

The problem with large sets of data is the risk of the “GIGO” principle-viz. garbage in, garbage out-and it requires a very careful and thoughtful investigator to rule out the many errors of large-scale data capture.

This article reviews recent evidence suggesting an increased risk of pneumonia, cardiovascular disease, and acute kidney injury in men treated with ADT and consider whether the incidence of such events differs with the treatment modality.

A full-term infant presents with abdominal distention and enlarged kidneys. After further evaluation, a biopsy is performed. What is your diagnosis?

A small study found that testosterone may suppress the growth of some advanced prostate cancers and could reverse resistance to testosterone-blocking agents.

Older men who received radiotherapy in addition to ADT had fewer deaths from their locally advanced prostate cancer compared with those treated with ADT alone.

While observation may be appropriate for select cases where prognosis is poor, rates of non-treatment are unacceptably high in muscle-invasive bladder cancer.

Extending the duration of androgen suppression in men with intermediate-risk prostate cancer prior to radiotherapy led to more adverse events and did not improve outcomes.

Long-term survival rates of patients after laparoscopic surgery for bladder cancer are similar to rates achieved with standard open surgery.

The purpose of this article is to present an updated set of American College of Radiology consensus guidelines formed from an expert panel on the appropriate use of radiation therapy in postprostatectomy prostate cancer.

A 63-year-old man with no family history of prostate cancer has prostate biopsy that revealed 9 out of 12 cores involved with prostatic adenocarcinoma, mostly Gleason score 5+4=9.

Molecular imaging in prostate cancer can play the additional critical role of an early biomarker for response to therapy, similar to how 18F-FDG is used in other malignancies.

We briefly review these two imaging technologies and provide potential utilization strategies based on available data.

An extremely large database study across more than one million people found no increased risk of bladder cancer with the diabetes drug pioglitazone.

A large phase I study showed that the PD-L1 antibody known as MPDL3280A has promising activity in patients with urothelial bladder cancer.

Despite recommendations calling for their use, prescriptions for bisphosphonates among older men with prostate cancer undergoing ADT are still low.

If physicians are following the current NCCN and AUA renal cell carcinoma surveillance guidelines, they could be missing as many as one-third of recurrences.

The use of a prostate cancer antigen 3 urine test could help men avoid undergoing unnecessary repeat biopsies, and predict which will be positive for cancer.

Clinical trial results to date show that men with visceral CRPC metastases do not benefit from ipilimumab, while their counterparts with bone- or node-only metastases do. This suggests that visceral metastases should be a stratification factor for future immunotherapy clinical trials.