
Despite a high rate of hematologic toxicity, combined low-dose gemcitabine (Gemzar), paclitaxel, and sorafenib (Nexavar) showed promise as a well-tolerated salvage therapy in a small group of patients with cisplatin-resistant urothelial cancer.

Your AI-Trained Oncology Knowledge Connection!



Despite a high rate of hematologic toxicity, combined low-dose gemcitabine (Gemzar), paclitaxel, and sorafenib (Nexavar) showed promise as a well-tolerated salvage therapy in a small group of patients with cisplatin-resistant urothelial cancer.

BRCA mutations and co-occurring gene alterations in prostate cancer suggest that some patients might benefit from oral poly (ADP-ribose) polymerase (PARP) inhibitors.

Results from the large STAMPEDE trial suggest that the combination of zoledronic acid and celecoxib along with standard of care could improve failure-free survival in prostate cancer patients starting hormone therapy whose disease has metastasized.

The combination of the novel histone deacetylase inhibitor entinostat and high-dose interleukin-2 yielded a promising response rate in patients with metastatic renal cell carcinoma.

The anti-PD-L1 antibody atezolizumab showed significantly improved objective response rates compared to historic controls in a phase II study of patients with locally advanced or metastatic urothelial carcinoma previously treated with platinum-based therapy.

A hypofractionated radiotherapy regimen was found to be noninferior to conventional fractionation for low-risk prostate cancer patients in a new randomized phase III trial.

A meta-analysis found that radiotherapy for prostate cancer is associated with worse overall and prostate cancer–specific survival compared with surgery.

A new study has confirmed the safety and efficacy of pazopanib in a real-world setting of patients with metastatic renal cell carcinoma (mRCC) and validates the International Metastatic Renal Cell Carcinoma Database (IMDC) prognostic model in this patient population.

Administering pharmacological prophylaxis against venous thromboembolism (VTE) did not decrease the occurrence of VTE in patients treated with robotic partial nephrectomy, and it did not increase the rate of hemorrhagic events.

Comprehensive genomic profiling of patients with advanced urothelial carcinoma has revealed a very high frequency of clinically relevant genomic alterations.

In this review, we describe the historical data for chemotherapy in the perioperative and metastatic prostate cancer settings, and the recent trials that are changing the paradigm in support of docetaxel in the upfront setting.

Although great therapeutic advances have been made in metastatic castration-resistant prostate cancer, the role of systemic approaches in the management of patients outside of metastatic castration-resistant prostate cancer remains largely undefined.

Men with prostate cancer who carry variants in the SLCO2B1 gene have shorter time to progression and overall survival.

A 53-year-old man presents with hematuria and is found to have a bladder mass. What is your diagnosis?

A case series of three individuals suggests that there may be a causal relationship between chemotherapeutic treatments for germ cell tumors and the subsequent development of chronic myeloid leukemia.

Patients with metastatic or unresectable urothelial carcinoma who are treated with either carboplatin or cisplatin have high rates of vascular thromboembolic events.

A phase II trial found that use of a personalized peptide vaccination improved overall survival in patients with chemotherapy-resistant advanced urothelial bladder cancer.

Men diagnosed with prostate cancer who opt for active surveillance/watchful waiting rather than active treatment may not be receiving quality monitoring of their disease.

Following the USPSTF recommendation in 2012 against routine PSA screening, rates of screening and the incidence of early-stage prostate cancer have both declined.

The FDA has approved the anti–PD-1 immunotherapy nivolumab (Opdivo) for the treatment of metastatic renal cell carcinoma.

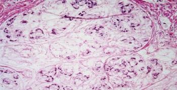
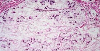
A 56-year-old man presents with an enlarged prostate. After a biopsy is performed, what is your diagnosis?

A 42-year-old man presented with increasing right hip pain that limited his ability to walk. Magnetic resonance imaging (MRI) revealed a right lytic acetabular lesion. Further work-up included a computed tomography (CT) scan, which revealed an 8-cm left kidney tumor.

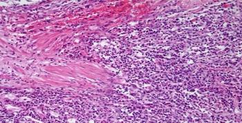
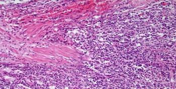
A 63-year-old man complains of blood in his urine. A lesion in the right ureter is identified and a biopsy is performed. What is your diagnosis?

A new study suggests that certain mutagens formed during the cooking of meat are linked to a risk of renal cell carcinoma (RCC).

Researchers have developed a blood test that can identify mutations in the androgen receptor gene that drive resistance to abiraterone. The test could identify prostate cancer patients who will not respond to the treatment.