
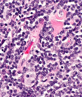
New research showed that it appears to be feasible to treat low- and high-risk patients with acute promyelocytic leukemia with the chemotherapy-free regimen of all-trans retinoic acid and arsenic trioxide.

Your AI-Trained Oncology Knowledge Connection!


New research showed that it appears to be feasible to treat low- and high-risk patients with acute promyelocytic leukemia with the chemotherapy-free regimen of all-trans retinoic acid and arsenic trioxide.

More patients with light-chain amyloidosis are surviving longer after autologous hematopoietic cell transplantation, with a reduction in early post-transplant mortality.

In this interview, researchers discuss their analysis of a specific type of acute myeloid leukemia.

Anti-diabetic drugs could help eradicate leukemic stem cells in chronic myeloid leukemia (CML) patients, according to a new study.

The FDA recently granted priority review status to ixazomib (Takeda) for the treatment of relapsed or refractory multiple myeloma.

Nonbiological factors such as insurance and marital status and county-level income were found to independently affect the survival of younger patients with AML.

Treatment with a short course of vemurafenib was effective and rapid in patients with relapsed or refractory hairy-cell leukemia, resulting in overall response rates of over 95%.

A new laboratory study shows that inhibiting the uptake of certain dipeptides could represent a novel therapeutic approach to inhibiting chronic myeloid leukemia proliferation.

Risk for leukemia was significantly lower among children in Taiwan who were infected with the enterovirus compared with children who were not infected.

Vietnam War veterans exposed to Agent Orange as part of Operation Ranch Hand were at double the risk for monoclonal gammopathy of undetermined significance, a precursor to multiple myeloma, according to results of a new study.

Combined treatment with lenalidomide/rituximab resulted in better clinical response in patients with recurrent follicular lymphoma than did lenalidomide alone.

Daratumumab, a monoclonal antibody that targets CD38, was safe and effective in patients with heavily pretreated and refractory multiple myeloma.

A complex high-dose combination therapy is tolerable and effective in patients with aggressive B-cell lymphoma that has spread to the central nervous system.

Continuous therapy resulted in delays in first and second progression compared with fixed-duration therapy in patients with newly diagnosed multiple myeloma.

Researchers combined clinical risk factors with mutation status from seven genes to improve prognostication for patients with follicular lymphoma.

Our standard therapies for peripheral T-cell lymphoma may cure a subset of patients, and thus far novel agents have not changed the outcomes for the majority.

This article evaluates the most up-to-date peer-reviewed published work on the treatment of peripheral T-cell lymphoma, and offers a glimpse into the current upfront clinical trial landscape for patients affected by this uncommon disease.

A 45-year-old man with a known history of rheumatic fever and aortic valve replacement 15 years earlier presented with the chief complaint of a 1-month history of progressive, intense, nonmechanical lumbar pain.

Using a gene expression-based assay on formalin-fixed paraffin-embedded tissue, researchers were able to identify groups among DLBCL patients with significantly different outcomes from R-CHOP treatment.

Ponatinib yielded complete cytogenetic responses in most patients with newly diagnosed chronic-phase CML, but the risk of vascular events suggests other agents should first be considered.

While the risk of a new treatment-related cancer diagnosis after childhood is known, a new study now shows that this risk remains into the fifth and sixth decade of life.

The International Myeloma Working Group has published a revised International Staging System for multiple myeloma that incorporates chromosomal abnormalities.

Adding vosaroxin to cytarabine resulted in no significant improvement in overall survival in patients with relapsed or refractory acute myeloid leukemia, but the trial did suggest that vosaroxin could be an option for salvage therapy in patients aged 60 and older.

Eighty percent of patients with advanced multiple myeloma had a clinical response to a new T cell–receptor therapy that used T cells to target cells expressing NY-ESO-1.

Results of a new study have indicated that the risk of developing melanoma may be almost doubled among certain survivors of chronic lymphocytic leukemia/small lymphocytic lymphoma.