
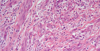
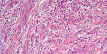
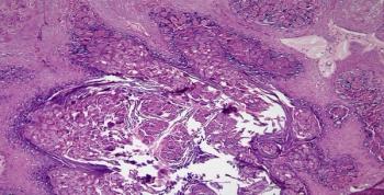
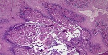
Perhaps the greatest attraction and chief benefit of intratumoral therapies is their ability to synergize with systemic checkpoint therapies and accelerate the development of a lymphoid infiltrate and perhaps secondary lymphoid structures in vivo, which in turn can result in systemic mobilization of a T-cell response: the local injection–global effect model.






















































































