
The novel immunotherapy combination of epacadostat plus pembrolizumab shows promising clinical activity in advanced melanoma patients.

Your AI-Trained Oncology Knowledge Connection!


The novel immunotherapy combination of epacadostat plus pembrolizumab shows promising clinical activity in advanced melanoma patients.

A combination of pembrolizumab and low-dose ipilimumab appears to be active and to have a better safety profile than a combination of nivolumab and full-dose ipilimumab in advanced melanoma patients.

Early results from an ongoing trial suggest that pembrolizumab has promising activity in untreated melanoma patients with brain metastases.

Older men are more likely to be diagnosed with multiple primary melanomas and have worse cutaneous malignant melanoma–specific survival than men with a single primary melanoma.

Nivolumab alone or in combination with ipilimumab are promising treatment options for patients with mucosal melanoma, according to a new study.

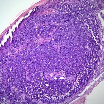
The expression of immune markers and T-cell subsets can help predict outcomes of sentinel lymph node–positive melanoma patients, according to a new study.

The checkpoint inhibitors pembrolizumab and nivolumab not only prolong survival in advanced melanoma patients but also maintain health-related quality of life.

Advanced melanoma patients successfully treated with a combination of nivolumab and ipilimumab may endure severe side effects, but they do not suffer any clinically meaningful changes in health-related quality of life.

The FDA has approved the MEK inhibitor cobimetinib in combination with the BRAF inhibitor vemurafenib for the treatment of advanced metastatic or unresectable BRAF-mutated melanoma.

Researchers testing the use of intermittent high-dose interferon alfa-2b cannot currently recommend the regimen as an adjuvant treatment for high-risk melanoma.

The FDA has approved its first oncolytic virus therapy talimogene laherparepvec (Imlygic), a drug for the treatment of patients with melanoma lesions in the skin and lymph nodes.

A new study has found that the number of moles present on one arm could be a useful tool in assessing a person’s risk for melanoma in the primary care setting.

Melanoma has historically been considered a radioresistant tumor. Emerging data have challenged this viewpoint. The potential roles of radiation therapy in the treatment of patients with melanoma will be reviewed here.

It is incumbent on melanoma and radiation oncology researchers alike to further our understanding of when and how RT can help patients.

Possibly due to a higher prevalence of indoor tanning, skin cancer rates are higher among gay and bisexual men compared to their heterosexual.

Treatment with nab-paclitaxel resulted in significantly improved progression-free survival and a greater disease control rate in chemotherapy-naive patients with metastatic melanoma compared with dacarbazine.

Neither GM-CSF nor peptide vaccination, thought to contribute to antitumor responses, improved survival outcomes in patients with high-risk resected melanoma.

In the real-world setting, about one-third of melanoma patients treated with ipilimumab had grade 3 or worse immune-related adverse events.

Metastasis to sentinel lymph nodes was significantly lower among patients with melanoma with histologic regression of their disease compared with those without regression.

Results of a new study have indicated that the risk of developing melanoma may be almost doubled among certain survivors of chronic lymphocytic leukemia/small lymphocytic lymphoma.

Results of a study suggest that durable survival is possible in melanoma patients treated with MAPK inhibitors, and is perhaps similar to the survival observed with ipilimumab.

Whole-exome sequencing found that mutations of the NF1 gene are an important driver mutation in melanoma, and the third most frequently mutated gene.

This slide show provides information on the present and future of targeted therapies and immunotherapies based on a report from the IMS Institute for Healthcare Informatics.

By exploring gene expression variables in addition to clinicopathologic variables, researchers were able to better predict which melanoma patients would have sentinel lymph node biopsy positivity.

The unprecedented advances in melanoma immunotherapy are sure to pave the way for immunotherapy development in other tumors.