
Lack of knowledge and a belief that dark skin protects against skin cancer are among the barriers preventing minority, uninsured, and immigrant populations from adopting methods for skin cancer prevention.

Your AI-Trained Oncology Knowledge Connection!


Lack of knowledge and a belief that dark skin protects against skin cancer are among the barriers preventing minority, uninsured, and immigrant populations from adopting methods for skin cancer prevention.

The use of sunscreen with an SPF of 15 or greater was associated with about a 30% reduction in the risk for melanoma among a group of Norwegian women.

Researchers from the University of Virginia Cancer Center are now reporting that the experimental agent pevonedistat may be able to combat melanoma in whole new way.

Researchers at the Massachusetts Institute of Technology have engineered a remote control switch that uses ultraviolet (UV) light to activate CRISPR-Cas9 gene editing.

Oral vitamin D intake was associated with an increased risk for basal cell carcinoma, but not melanoma, according to two large cohort studies.

Scientists from the Ohio State University (The James) Comprehensive Cancer Center and Perlmutter Cancer Center of NYU School of Medicine have found an association between genes linked to eye color and development of uveal melanoma.

A new study is suggesting that it may be possible to turn melanoma into a nonthreatening, easily curable disease.

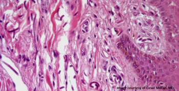
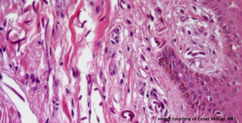
A 47-year-old man presents with an “atrophic” lesion of the skin in the right arm. After a biopsy is performed, what is your diagnosis?

Immune response markers from on-treatment-but not pretreatment-melanoma biopsies predict responses to immune checkpoint blockade.

Updated efficacy results of the coBRIM trial showed that cobimetinib plus vemurafenib improved survival in patients with BRAF V600–mutated advanced melanoma.

There is currently not enough evidence to assess the balance of benefits and harms of a visual skin examination by a clinician to screen for skin cancer in asymptomatic adults.

In this interview we discuss a recent study that identified genetic mechanisms of immunoresistance to treatment with anti-PD-1 antibodies.

Patients with metastatic melanoma may benefit from the addition of a local tumor-targeted treatment in addition to ipilimumab.

Obtaining blood biopsies instead of invasive tissue biopsies may be less risky for patients, faster, and cost less.

In this video we discuss the use of concurrent immunotherapy and stereotactic radiosurgery for treatment of melanoma brain metastases.

Undergoing immunotherapy within a month of stereotactic radiosurgery resulted in an improved response to treatment for patients with melanoma brain metastases.

Along with gene expression signatures from a 15-loci panel, tumor diameter and specific driver mutations predict metastasis risk and survival among patients with uveal melanoma.

In this video we discuss 3-year results of the COMBI-d trial, which studied dabrafenib and trametinib in patients with unresectable or metastatic BRAF-mutated melanoma.

In this video we discuss promising results of the anti–PD-L1 agent avelumab in patients with metastatic Merkel cell carcinoma who had previously been treated with chemotherapy.

Inflammatory arthritis and sicca syndrome appear to be immune-related adverse events among some patients undergoing cancer treatment with the immune checkpoint inhibitors nivolumab and ipilimumab.

In this video we discuss 3-year overall survival data from the KEYNOTE-001 trial, which studied the anti–PD-1 antibody pembrolizumab in patients with advanced melanoma.

The MEK inhibitor binimetinib resulted in improved progression-free survival and response rates vs dacarbazine in patients with NRAS-mutated metastatic melanoma.

A combination of the checkpoint inhibitors nivolumab and ipilimumab continues to demonstrate superior clinical activity vs ipilimumab monotherapy in treatment-naive patients with advanced melanoma.

Trametinib, which is approved by the FDA for melanoma and other cancers, may block viral infection by stopping Merkel cell polyomavirus transcription and replication.

Details of a first-in-human case report showed that a patient with melanoma was able to achieve a durable complete response with the combination of two types of immunotherapy.